上颌窦动脉解剖结构的锥形术计算机断层扫描分析 |
| 吴炯睿, 高益鸣 |
|
Cone-beam CT analysis of anatomical structure of maxillary sinus arteries |
| WU Jiongrui, GAO Yiming |
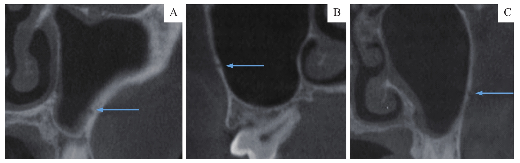
| 图1 MSA走形类型 Note:A. Intrasinus type. B. Intraosseous type. C. Superficial type. |
| Fig 1 Shape type of MSA |
|