伴膜增生病变的非典型抗肾小球基底膜肾炎1例报道 |
| 张昕萍, 王自闯, 陈小永 |
|
A case report of atypical anti-glomerular basement membrane disease with membrane hyperplasia lesions |
| ZHANG Xinping, WANG Zichuang, CHEN Xiaoyong |
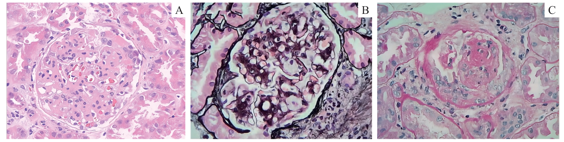
| 图1 光学显微镜下观察肾脏组织(×400) Note: A/B. Hematoxylin-eosin (H-E) staining (A) and periodic acid-silver methenamine (PASM) staining (B) show mesangial cells and stroma with moderate to severe hyperplasia, thickening of the basement membrane, segmental mesangial insertion, and “double track sign” formation. C. Periodic acid schiff (PAS) staining show microcytic crescent formation. |
| Fig 1 Observation of renal tissue under an optical microscope (×400) |
|