血管抑制蛋白2在三阴性乳腺癌中的功能及其调控可变剪接机制 |
| 王卫, 王红丽, 阿力比亚提·艾尼, 衣力亚尔·肉苏, 阿依努尔, 杨亮 |
|
Function of vasohibin-2 and the mechanism of alternative splicing in triple-negative breast cancer |
| WANG Wei, WANG Hongli, ALIBIYATI·i Ain, YILIYAER· Rousu, AYI NUER, YANG Liang |
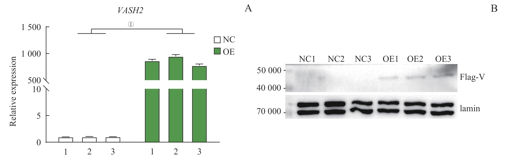
| 图3 验证VASH2在MDA-MB-231细胞中高表达 Note: A. RT-qPCR results of OE-VASH2 and the control groups. B. Western blotting results. ①P<0.001, compared with the control groups. |
| Fig 3 Verification of high expression of VASH2 in MDA-MB-231 cells |
|