牙周致病菌编码的Tannerpin-M对粒细胞释放的丝氨酸蛋白酶的抑制作用 |
| 潘子豪, 许佳伟, 周爱武 |
|
Inhibition of Tannerpin-M encoded by periodontal pathogens on serine proteases released by granulocytes |
| PAN Zihao, XU Jiawei, ZHOU Aiwu |
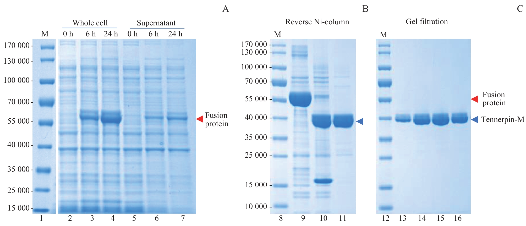
| 图2 重组Tannerpin-M的制备 Note: A. Protein expression of Tannerpin-M fusion protein in whole bacterial cell lysate and lysis supernatant. M—marker (Lane 1,8 and 12); Lane 2?4—whole cell lysate of Tannerpin-M expression upon IPTG induction at 0, 6 and 24 h; Lane 5?7—supernatant of Tannerpin-M expression cells upon IPTG induction at 0, 6 and 24 h respectively. B. Enzyme digestion of the fusion protein and purification by reverse nickel ion affinity column (Ni-column). Lane 9—HisTrap-purified SUMO3-Tannerpin-M fusion protein; Lane 10—fusion protein digested with SENP2; Lane 11—flow through of fusion protein digestion from a HisTrap column. C. Gel filtration purification of Tannerpin-M. Lane13?16—fractions of Tannerpin-M from a gel filtration column. |
| Fig 2 Preparation of recombinant Tannerpin-M |
|