牙周致病菌编码的Tannerpin-M对粒细胞释放的丝氨酸蛋白酶的抑制作用 |
| 潘子豪, 许佳伟, 周爱武 |
|
Inhibition of Tannerpin-M encoded by periodontal pathogens on serine proteases released by granulocytes |
| PAN Zihao, XU Jiawei, ZHOU Aiwu |
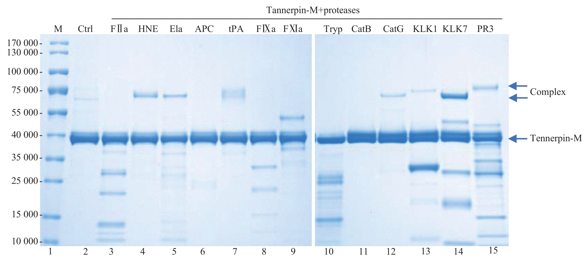
| 图3 Tannerpin-M抑制丝氨酸蛋白酶的特异性 Note: M—marker (Lane 1); Lane 2—Tannerpin-M control (Ctrl). The other lanes are mixed solutions of Tannerpin-M with different serine proteases; Lane 3—FⅡa; Lane 4—HNE; Lane 5—elastase; Lane 6—APC; Lane 7—t-PA; Lane 8—FⅨa; Lane 9—FⅪa; Lane 10—trypsin; Lane 11—CatB; Lane 12—CatG; Lane 13—KLK1; Lane 14—KLK7; Lane 15—PR3. |
| Fig 3 Inhibition specificity of Tannerpin-M towards serine proteases |
|