复发难治性多发性骨髓瘤伴多病灶髓外浸润合并肺腺癌1例报道 |
| 杜芳, 周凌云, 陈姣, 刘丹波, 向泓先, 陈海飞 |
|
A case report of relapsed and refractory multiple myeloma with multifocal extramedullary infiltration and pulmonary adenocarcinoma |
| DU Fang, ZHOU Lingyun, CHEN Jiao, LIU Danbo, XIANG Hongxian, CHEN Haifei |
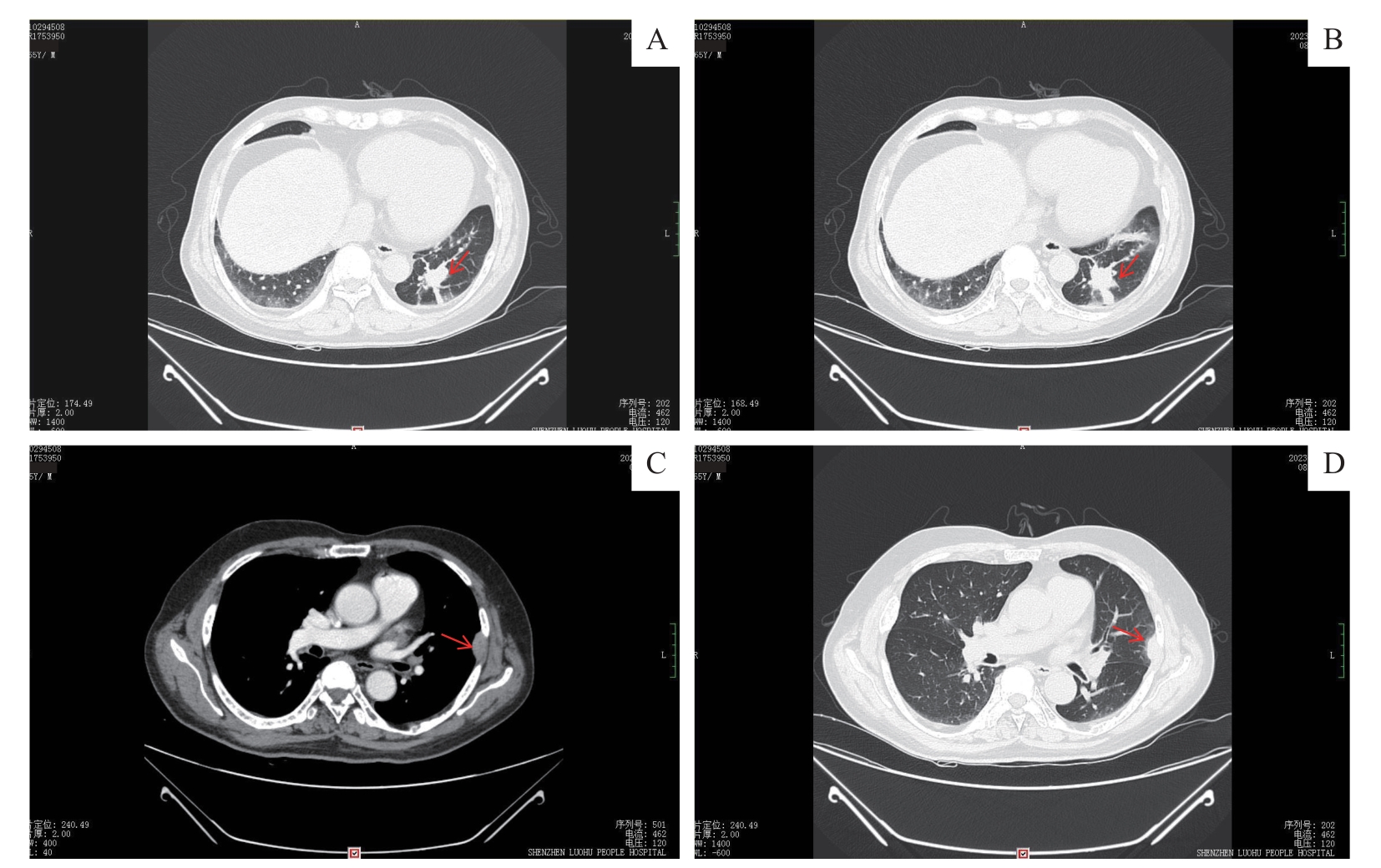
| 图2 胸部增强CT显像 Note: A/B. Two different layers of contrast-enhanced chest CT scans. Multiple elongated strip shadows are visible around the same site, and mild sustained enhancement is visible on contrast-enhanced scans (arrow). C. Contrast-enhanced chest CT showing a chest wall mass (arrow) at the mediastinal window level. D. Contrast-enhanced chest CT showing a chest wall mass (arrow) at the lung window level. |
| Fig 2 Contrast-enhanced chest CT scans |
|