复发难治性多发性骨髓瘤伴多病灶髓外浸润合并肺腺癌1例报道 |
| 杜芳, 周凌云, 陈姣, 刘丹波, 向泓先, 陈海飞 |
|
A case report of relapsed and refractory multiple myeloma with multifocal extramedullary infiltration and pulmonary adenocarcinoma |
| DU Fang, ZHOU Lingyun, CHEN Jiao, LIU Danbo, XIANG Hongxian, CHEN Haifei |
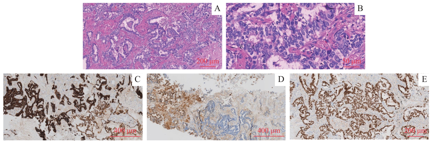
| 图3 肺结节病理诊断 Note: A/B. H-E staining. C. Immunohistochemistry of CK7. D. Immunohistochemistry of Napsin A. E. Immunohistochemistry of TTF-1. |
| Fig 3 Pathological diagnosis of pulmonary nodules |
|