重度牙周炎小鼠模型构建方法的优化与评价 |
| 王佳璇, 张骞骞, 隋佰延, 刘昕 |
|
Optimization and evaluation of mouse model construction method for severe periodontitis |
| WANG Jiaxuan, ZHANG Qianqian, SUI Baiyan, LIU Xin |
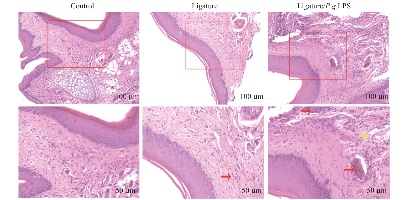
| 图5 小鼠上颌左侧第二磨牙处牙龈组织H-E染色结果 Note: Red arrows indicate inflammatory cells; yellow arrows indicate edema and necrosis. |
| Fig 5 H-E staining results of gingival tissue at the second molar in the left maxilla of mice |
|