颞下颌关节紊乱病患者关节盘与髁突距离的定量分析研究 |
| 孙磊, 戴世锋, 陈裕华, 许新怡, 姜克乐, 李筱文, 李承靖, 吴婷婷 |
|
Quantitative analysis of the distance between articular disc and condyle in patients with temporomandibular disorders |
| SUN Lei, DAI Shifeng, CHEN Yuhua, XU Xinyi, JIANG Kele, LI Xiaowen, LI Chengjing, WU Tingting |
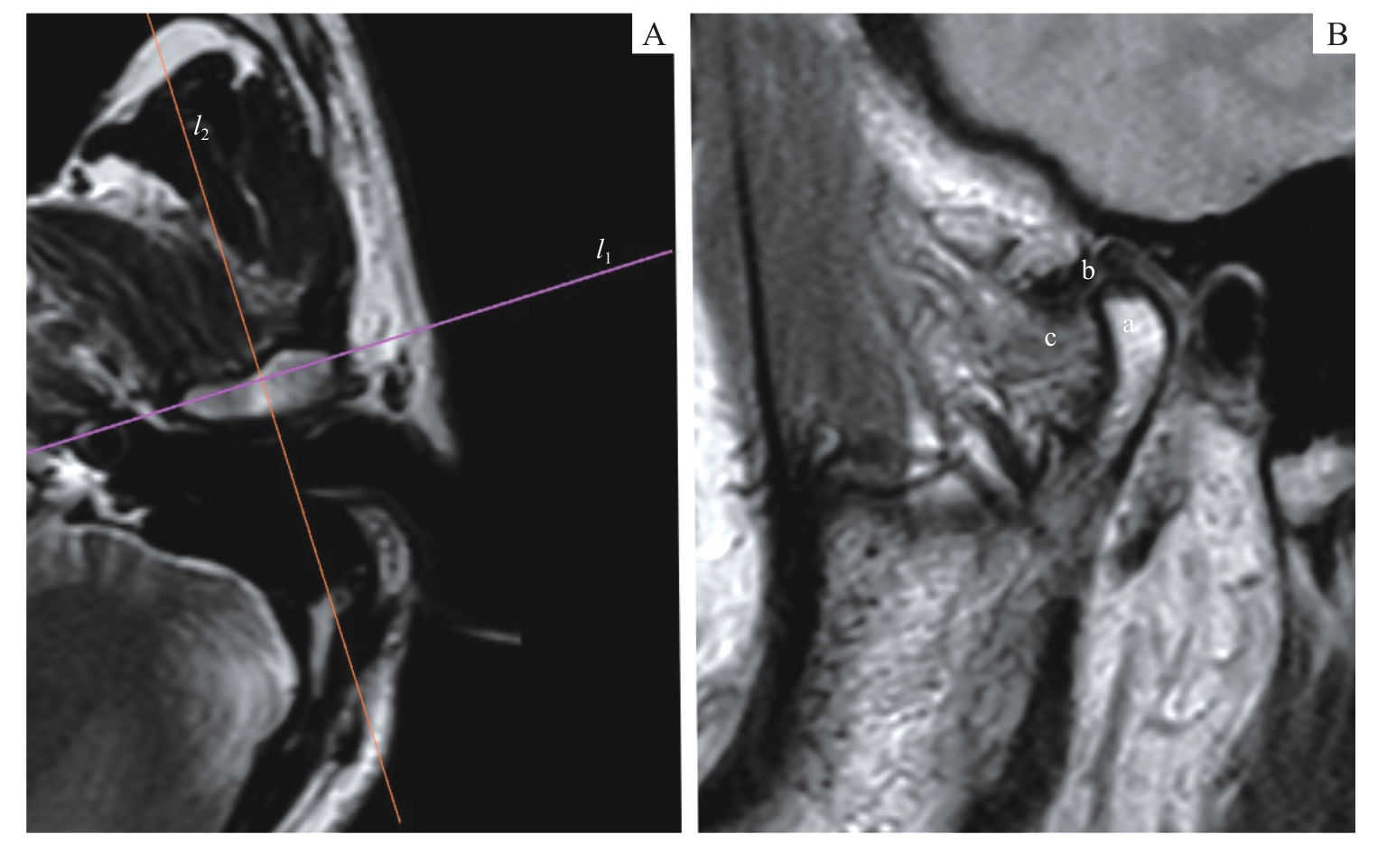
| 图1 MRI阅片时的定位平面 Note: PDWI images. A. Axial plane. l1—the transverse axis of the condyle (the line connecting the internal and the external poles of the condyle); l2—the positioning plane perpendicular to the condylar transverse axis. B. Oblique sagittal plane. a—condyle; b—articular disc; c—lateral pterygoid muscle. |
| Fig 1 Positioning planes for MRI image reading |
|