颞下颌关节紊乱病患者关节盘与髁突距离的定量分析研究 |
| 孙磊, 戴世锋, 陈裕华, 许新怡, 姜克乐, 李筱文, 李承靖, 吴婷婷 |
|
Quantitative analysis of the distance between articular disc and condyle in patients with temporomandibular disorders |
| SUN Lei, DAI Shifeng, CHEN Yuhua, XU Xinyi, JIANG Kele, LI Xiaowen, LI Chengjing, WU Tingting |
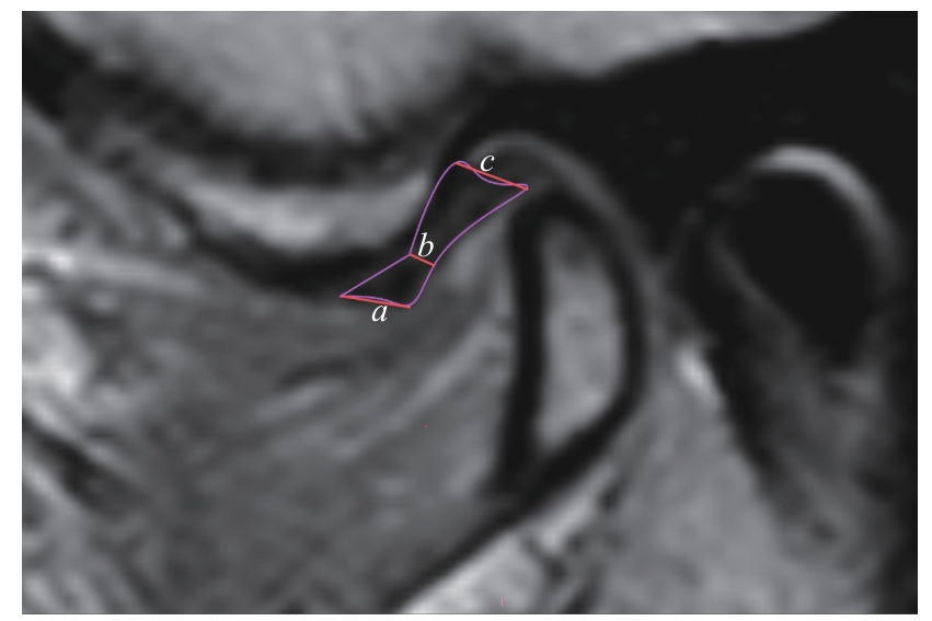
| 图5 颞下颌关节盘厚度测量 Note: An oblique sagittal PDWI image. a—anterior band thickness; b—intermediate zone thickness; c—posterior band thickness. |
| Fig 5 Measurement of articular disc thickness |
|