基于纳米孔Cas9靶向测序的金黄色葡萄球菌快速检测与分型 |
| 潘抒凡, 杨栋磊, 王鹏飞 |
|
Rapid detection and typing of Staphylococcus aureus based on nanopore Cas9-targeted sequencing |
| PAN Shufan, YANG Donglei, WANG Pengfei |
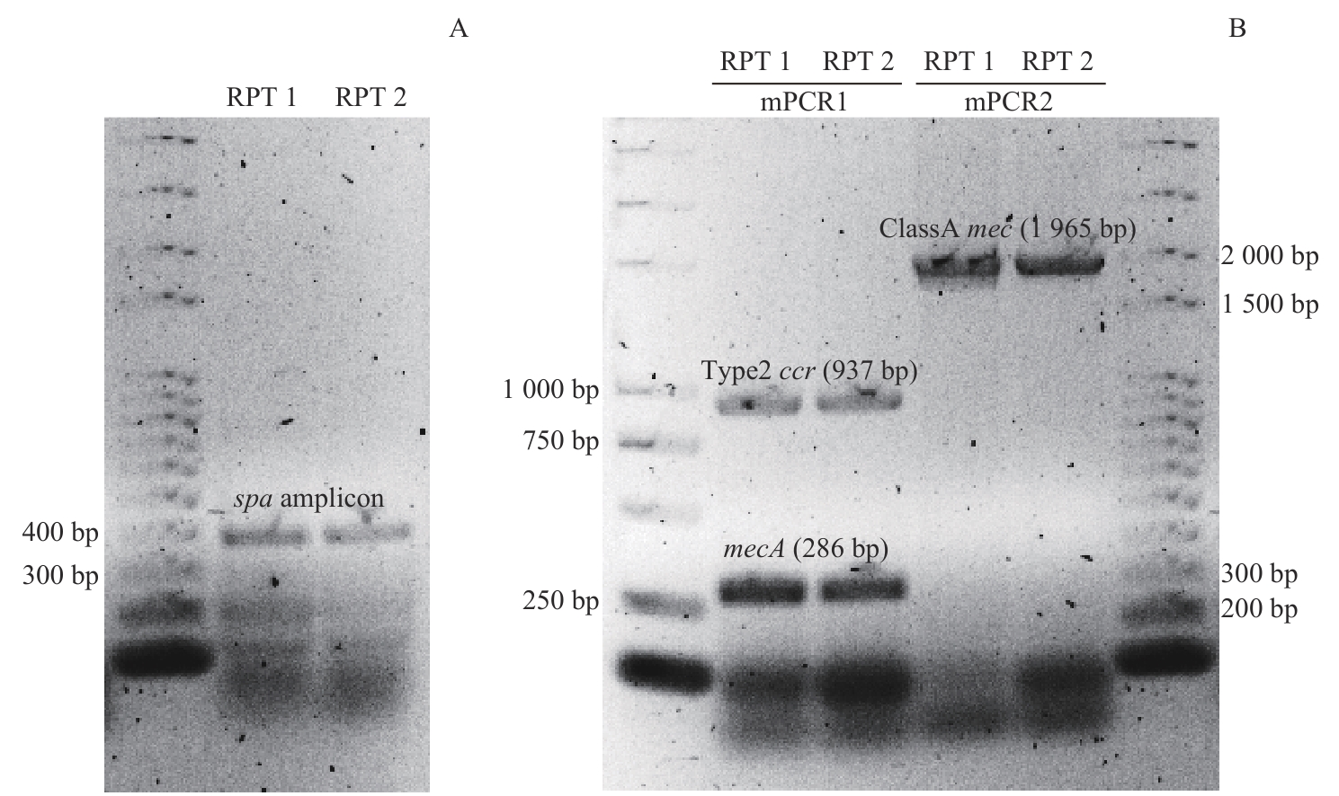
| 图6 PCR和多重PCR法分型结果 Note: A. Verification of spa amplicons. B. SCCmec typing results from multiplex PCR. RPT—repeat. |
| Fig 6 Typing results obtained using PCR and multiplex PCR methods |
|