Journal of Shanghai Jiao Tong University (Medical Science)

   

Monomorphic epitheliotropic intestinal T-cell lymphoma: a case with recurrent gastrointestinal hemorrhage

HU Zeyu1(), ZHOU Cheng2, YANG Lin3, MA Xiaoyan4, XIAO Haijuan5(), SI Hailong5   

  1. 1.First Clinical Medical College, Shaanxi University of Chinese Medicine, Xianyang 712046, China
    2.First Clinical Medical College, Henan University of Chinese Medicine, Zhengzhou 450046, China
    3.Department of Hepatobiliary Surgery, Xianyang Central Hospital in Shaanxi Province, Xianyang 712000, China
    4.Department of Pathology, Xianyang Central Hospital in Shaanxi Province, Xianyang 712000, China
    5.Department of Oncology, Affiliated Hospital of Shaanxi University of Chinese Medicine, Xianyang 712000, China
  • Received:2022-07-08 Accepted:2022-10-21 Online:2022-12-20 Published:2022-12-20
  • Contact: XIAO Haijuan E-mail:549643140@qq.com;daisytcm@hotmail.com
  • Supported by:
    Natural Science Foundation Youth Project of Shaanxi Province(2018JQ8014);Subject Innovation Team of Shaanxi University of Chinese Medicine(2019-YL06)

Abstract:

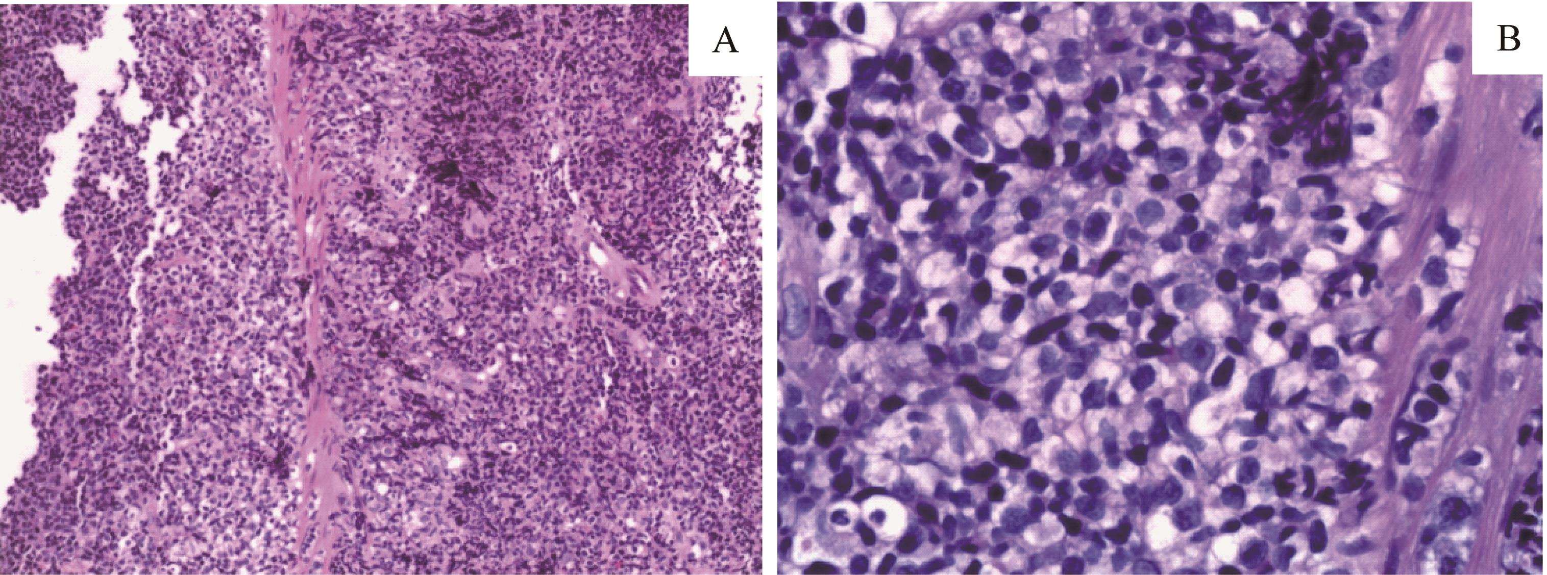
A male patient, 63-year-old, went to Xianyang Central Hospital in Shaanxi Province on September 4, 2019, for "intermittent black stool for more than 1 month with aggravation for 7 h", and was admitted as "gastrointestinal bleeding". On admission, there was fresh blood stool with a large amount, accompanied by abdominal pain, abdominal distension, dizziness, fatigue, and anorexia, without other obvious special discomfort. The electrogastroscopy indicated chronic non-atrophic gastritis with erosion; the electron colonoscopy indicated ileocecal valve inflammation; the capsule endoscopy indicated ulcer and tumor possibility. The patient was finally diagnosed as having monomorphic epitheliotropic intestinal T-cell lymphoma (MEITL) after single balloon small bowel microscopy and pathological biopsy. On November 8, 2019, the patient was transferred to the Department of Oncology, Affiliated Hospital of Shaanxi University of Chinese Medicine. After 2 cycles of chemotherapy with R-CHOP regimen (rituximab combined with cyclophosphamide, adriamycin, vincristine and prednisone), the disease progressed and then the therapy was replaced with DA-EPOCH regimen (etoposide, prednisone, vincristine, cyclophosphamide and doxorubicin). After 4 months of standardized treatment, the patient′s condition worsened again; he left hospital after giving up treatment, and died on March 20, 2020. MEITL has the characteristics of strong invasiveness, high degree of deterioration, heavy tumor load, difficult diagnosis and easy misdiagnosis, so the patients often have poor prognosis and high mortality. This article reports the clinical data of this patient with MEITL, aiming to provide reference for the diagnosis and treatment of patients with similar symptoms.

Key words: enteropathy-associated T-cell lymphoma (EATL), monomorphic epitheliotropic intestinal T-cell lymphoma (MEITL), gastrointestinal hemorrhage

CLC Number: