伴膜增生病变的非典型抗肾小球基底膜肾炎1例报道
1.
2.
A case report of atypical anti-glomerular basement membrane disease with membrane hyperplasia lesions
1.
2.
Corresponding authors: CHEN Xiaoyong, E-mail:chenxy603@sina.com.
Received: 2024-01-24 Accepted: 2024-06-24 Online: 2024-11-28
非典型抗肾小球基底膜(glomerular basement membrane,GBM)肾炎罕见,伴有膜增生病变的更为少见,目前对其治疗方案尚未明确。该文报道1例抗GBM抗体阴性,但肾组织活检提示“肾小球膜增生病变伴IgG线样阳性”的非典型抗GBM肾炎病例。该患者以大量蛋白尿、血尿、水肿、肾功能损伤为主要特征,排除继发因素后经肾组织活检诊断为“非典型抗GBM肾炎”。给予糖皮质激素联合环磷酰胺治疗后,患者出现肺部感染及急性左心衰竭,转院行规律血液透析治疗。后期发展至终末期肾脏病阶段,继续接受规律血液透析治疗。
关键词:
Atypical anti-glomerular basement membrane (GBM) disease is rare, and the atypical anti-GBM disease with membrane hyperplasia lesion is even rarer. The treatment plan for it is not clear. This article reports a case of atypical anti-GBM disease with a negative anti-GBM antibody test, but renal tissue biopsy showed “glomerular membrane hyperplasia lesions with positive IgG linearity”, which provides a reference for clinical diagnosis and treatment. The patient exhibited massive proteinuria, hematuria, edema, and renal impairment. After ruling out secondary factors, the patient was diagnosed with “atypical anti-GBM nephritis” by renal tissue biopsy, and was treated with glucocorticoids combined with cyclophosphamide, after which the patient developed a lung infection and acute left heart failure, and received regular hemodialysis treatment. Then the patient progressed to the stage of end-stage renal disease and continued to receive regular hemodialysis treatment.
Keywords:
本文引用格式
张昕萍, 王自闯, 陈小永.
ZHANG Xinping, WANG Zichuang, CHEN Xiaoyong.
抗肾小球基底膜肾炎是一种由抗肾小球基底膜(glomerular basement membrane,GBM)抗体介导的自身免疫性疾病。该病的典型特征是坏死性血管炎引起的快速进展性肾小球肾炎,肾脏免疫荧光可见免疫球蛋白IgG沿GBM线性染色,40%~60%的患者可表现为肺泡出血,病情进展迅速,预后不良[1]。但临床中发现,约有10%的抗GBM肾炎患者虽然免疫荧光见免疫球蛋白沿GBM线样沉积,但酶联免疫吸附试验(enzyme linked immunosorbent assay,ELISA)未检测到抗GBM抗体,亦无新月体肾小球肾炎及肺泡出血,而仅表现为轻度肾功能不全,故将此称为“非典型抗GBM肾炎”[2]。该病罕见,其发病机制及治疗方案尚未明确。本文报道1例伴膜增生病变的非典型抗GBM肾炎,并对非典型抗GBM肾炎进行文献复习,以提高临床医师对该病的认识。
1 临床资料
1.1 基本资料
患者,男,40岁,因“体检发现蛋白尿1年,颜面部、双下肢水肿6 d”于2023年3月6日入院。1年前患者体检时发现尿蛋白(++),未治疗;6 d前发现颜面部及双下肢水肿,于当地医院住院治疗,住院期间尿常规提示尿潜血(++)、尿蛋白(++++),为进一步诊疗遂至本院。患者既往高血压病史5年,平素口服盐酸特拉唑嗪片、非洛地平缓释片控制血压,否认家族遗传病史及肾脏疾病史。入院查体:血压151 mmHg/96 mmHg(1 mmHg=0.133 kPa),身高172 cm,体质量110 kg,心脏、肺部、腹部无特殊,双肾区无叩击痛,颜面部浮肿,双下肢轻度指凹性水肿,余无异常。
1.2 辅助检查及诊断
入院查血常规无异常。尿常规:隐血(++),尿蛋白(+++),葡萄糖(+);24 h尿量3 900 mL,24 h尿蛋白定量26 247.4 mg。血生化:总蛋白47.9 g/L、白蛋白26.9 g/L,肌酐142 μmol/L[估算肾小球滤过率为52.85 mL/(min·1.73 m2)],β2微球蛋白4.20 mg/L,视黄醇结合蛋白105.2 mg/L,血清胱抑素C 1.59 mg/L,总胆固醇8.54 mmol/L,三酰甘油2.98 mmol/L,低密度脂蛋白3.15 mmol/L,钙2.04 mmol/L。甲状旁腺激素87.8 pg/mL;促甲状腺激素5.163 8 μIU/mL。心肌酶谱:肌酸激酶234 U/L,肌酸激酶同工酶30 U/L,乳酸脱氢酶269 U/L,α-羟丁酸脱氢酶210 U/L。中性粒细胞明胶酶相关脂质运载蛋白酶189.0 ng/mL;IgG及补体C3、C4均在正常范围;抗磷脂酶A2受体抗体<6.00 U/mL(参考区间<20.00 U/mL);尿免疫固定电泳无单克隆条带,尿本周蛋白、抗核抗体、抗中性粒细胞胞质抗体、抗干燥综合征抗体、抗肾小球基底膜抗体,以及其他自身免疫抗体、传染病筛查均阴性。心电图:窦性心动过速,心率115次/min,右心室大,陈旧性下壁心肌梗死待排除。胸部CT:肺多发微小结节,双侧局部胸膜及心包增厚。腹部超声:脂肪肝,双肾大小形态正常。
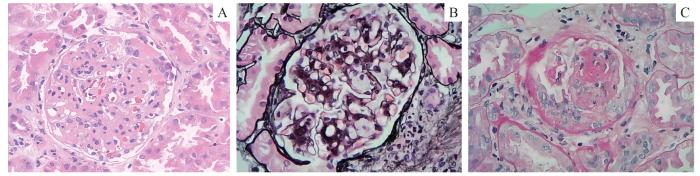
排除禁忌证后于2023年3月15日行超声引导下肾穿刺活检术,病理结果如下。① 光学显微镜:肾皮质及髓质共见15个肾小球,其中3个肾小球球性硬化,1个肾小球节段性硬化。其余肾小球系膜细胞和基质中-重度增生,呈结节状改变,以系膜基质增生更为明显;少数肾小球见节段性内皮细胞空泡变性,部分毛细血管腔狭窄,基底膜增厚,可见节段性系膜插入及双轨形成,但未见钉突样结构,上皮下、内皮下未见嗜复红蛋白沉积,可见1个小细胞性新月体形成;少数肾小球球囊周可见纤维化。肾小管上皮颗粒及空泡变性,可见个别蛋白及颗粒管型,多灶状萎缩(萎缩面积约35%),肾间质局灶水肿,多灶状炎症细胞浸润伴纤维化,细动脉管壁可见节段性玻璃样变,小动脉管壁增厚,管腔狭窄(图1)。② 免疫荧光染色:IgG(+++),为IgG1亚型;IgM(+);IgA(-);C3(+),沿肾小球系膜区呈颗粒样沉积;补体C1q(-);纤维蛋白原(fibrinogen,Fib)(-);白蛋白(albumin,Alb)(-);kappa(+);lambda(+);IgG沿肾小球毛细血管襻呈线状沉积,尚可见部分远端小管基底膜阳性(图2)。③ 电子显微镜:肾小球基底膜节段性增厚,足突弥漫融合,系膜细胞和基质增生明显,个别系膜区可见少量低密度电子致密物沉积(图3)。病理诊断:肾小球膜增生病变伴IgG线样阳性,符合非典型抗GBM肾炎。
图1
图1
光学显微镜下观察肾脏组织(×400)
Note: A/B. Hematoxylin-eosin (H-E) staining (A) and periodic acid-silver methenamine (PASM) staining (B) show mesangial cells and stroma with moderate to severe hyperplasia, thickening of the basement membrane, segmental mesangial insertion, and “double track sign” formation. C. Periodic acid schiff (PAS) staining show microcytic crescent formation.
Fig 1
Observation of renal tissue under an optical microscope (×400)
图2
图2
免疫荧光染色观察患者肾脏组织(×200)
Note: A. IgG is deposited in a linear manner along the glomerular capillaries, and some distal tubular basement membranes are positive. B. Positive staining for IgG1. C/D. Positive light chain kappa (C) and lambda (D). E. C3 deposition along the mesangial region of the glomerulus in granular form.
Fig 2
Observation of renal tissue by immunofluorescence (×200)
图3
图3
电子显微镜下观察肾脏组织超微结构
Note: A. The glomerular basement membrane was segmentally thickened, and the foot process was diffusely fused. B. The mesangial cells and matrix proliferation were obvious, and a small amount of low-density electron dense matter was deposited in the mesangial area. C. Capillary endothelial cells vacuole degeneration, red blood cells visible in the lumen.
Fig 3
Observation of renal tissue ultrastructure under electron microscope
1.3 治疗
典型的抗GBM肾炎的治疗为血浆置换联合激素与环磷酰胺,但考虑本例患者抗GBM抗体阴性,结合患者的临床表现和肾脏病理检测,并参考相关文献[3-4],最终确定治疗方案为激素联合环磷酰胺(甲泼尼龙40 mg静脉点滴,每日2次;环磷酰胺200 mg静脉点滴,隔日1次)。至第一次出院,环磷酰胺累积剂量为1 g;出院后改为口服醋酸泼尼松片50 mg/d,静脉点滴环磷酰胺400 mg,每2周1次;截至2023年7月12日,环磷酰胺累积剂量为4 g。在此期间(2023年4月4日—17日)患者自行停服醋酸泼尼松片,无明显不适,实验室检查结果较之前相比未见明显改变,之后嘱患者按时服药,定期治疗及复查。2023年7月14日,患者出现水肿加重、胸闷气喘、不能平卧及高热(最高体温39 ℃),再次入院。血常规:白细胞16.59×109个/L,中性粒细胞比率90.8%,C反应蛋白97 mg/L,脑钠肽前体800.3 pg/mL,血白蛋白18.2 g/L,血肌酐279 μmol/L;24 h尿蛋白定量22 718.5 mg;胸部CT示双肺炎症,双肺小结节,双侧胸膜增厚,胸腔积液,心包增厚,左侧腋窝淋巴结稍大。故考虑患者存在肺部感染合并急性左心衰竭,给予抗感染及血液净化治疗。患者生命体征平稳后,患者及家属要求转院治疗。经回访,患者已行左前臂动静脉人工内瘘成形术,行规律血液透析治疗,激素及环磷酰胺已停用。2024年2月13日复查血液透析前血肌酐514.9 μmol/L,水肿缓解,尿量300~400 mL/d,继续回访。
2 讨论
不同于典型的抗GBM肾炎,非典型抗GBM肾炎多表现为大量蛋白尿、血尿和轻度肾功能不全。有研究[5]显示,非典型抗GBM肾炎患者的尿蛋白水平高于典型抗GBM肾炎患者(6.4 g/d和1.7 g/d),但平均血肌酐明显低于典型抗GBM肾炎者(2.2 mg/dL和9.7 mg/dL),显示了非典型抗GBM肾炎进展缓慢,预后相对良好。本例患者以肾病综合征、血尿和肾功能不全为主要临床表现,治疗过程中虽出现肺部感染,但经积极治疗后感染好转,始终未见肺出血综合征和弥漫性新月体表现,结合抗GBM抗体阴性及肾脏病理检测结果最终诊断为非典型抗GBM肾炎。近年来的相关研究认为,抗GBM抗体阴性可能存在以下原因:① ELISA主要针对α3NC1抗体,若患者表现为除α3NC1以外的非典型抗体,如α4NC1、α5NC1或线性Ⅳ型胶原表位以及IgA抗体,则不易被ELISA检测到[6]。② 通常认为较轻的病情与循环中抗体滴度低有关[6],加之检测方法缺乏灵敏度,对本例患者采用ELISA和Western blotting方法均未检测出抗GBM抗体。或许通过间接免疫荧光法可以检测出抗体[7]。③ 与其他自身免疫性疾病类似,抗体产生少或仅短暂产生,使循环中抗体浓度低,甚至被肝脏灭活;但沉积于组织的抗体难以清除,导致了疾病的发生和缓慢进展[8]。因此,抗GBM抗体检测存在局限性,临床需综合患者的临床症状和肾脏病理检测明确诊断,以免误诊而影响治疗及预后。
目前,研究认为非典型抗GBM肾炎并不是一个独立的疾病,常显示出多种肾小球损伤模式,包括毛细血管内增生、系膜增生、膜增生和局灶性新月体肾小球肾炎,肾小球微血管病和局灶节段性肾小球硬化等,其组织学形态主要表现为明亮的免疫球蛋白重链和至少1条轻链沿GBM线样沉积,但缺乏其他的经典抗GBM肾炎特征[9]。该病的病理生理机制尚未阐明。虽然CORNELL[9]在近期研究中发现循环抗体是肾小球损伤的原因,但不排除此类疾病可能具有不同的发病机制。NASR等[5]发现进展的非典型抗GBM肾炎患者对常规免疫抑制治疗并不敏感。黎煜妍等[10]总结国内外近3年非典型抗GBM肾炎的临床报道,结果显示目前对该病的治疗大多采用激素联合免疫抑制剂及血浆置换,当常规治疗不佳或肾损伤快速进展时可加用利妥昔单抗。OLIVIER等[11]报道了1例非典型IgG1-κ抗GBM肾炎,免疫荧光观察到抗IgG1和kappa的抗体,给予激素联合环磷酰胺治疗过程中患者出现出血性膀胱炎,遂改为激素联合吗替麦考酚酯,后激素逐渐减量,患者病情好转。
值得注意的是本例患者存在肾小球膜增生病变。2021年改善全球肾脏病预后组织(Kidney Disease Improving Global Outcomes,KDIGO)指南建议,对预后良好的膜增生性肾小球肾炎(membrano-proliferative glomerulonephritis,MPGN)仅给予支持治疗,对于肾功能异常但无快速进展的新月体病变者,可加用糖皮质激素和免疫抑制剂[12]。BECK等[4]对其进行补充,认为肌酐正常或接近正常的MPGN,可尝试短疗程激素治疗或使用环磷酰胺、利妥昔单抗、吗替麦考酚酯等;对于快速进展的MPGN,则应立即采用环磷酰胺或利妥昔单抗联合甲泼尼龙冲击以诱导缓解,随后口服泼尼松维持治疗。故综合本例患者的整体情况,给予激素联合环磷酰胺治疗。但治疗期间的复查结果提示患者对此治疗并不敏感,尿蛋白未见明显缓解,肾功能进行性恶化;后又因肺部感染、水肿加重、急性心力衰竭而行血液净化治疗。推测其原因:① 非典型抗GBM肾炎本身对常规免疫抑制治疗不敏感。② 受肾小球膜增生性病变影响。③ 激素及环磷酰胺用量不足,以及患者院外未规律口服激素而导致病情的迁延。
目前,临床报道的肾脏病理表现符合膜增生性病变的非典型抗GBM肾炎极为罕见。对于此类患者,治疗上应用大剂量糖皮质激素及环磷酰胺,其益处是否大于风险有待商榷。另外,对于仅见IgG沿肾小球毛细血管襻沉积,而血液循环中未见抗GBM抗体的肾小球肾炎,及时进行血浆置换是否能够获益,尚不明确。本例患者经积极治疗,疗效仍不佳,发病1年内进展至终末期肾脏病阶段,预后较差。故临床上若遇到此类患者,应提高警惕,及时完善相关检查以明确诊断,准确评估治疗方案的利弊。
作者贡献声明
张昕萍、陈小永参与了论文的写作和修改;王自闯负责病理诊断部分的撰写指导及选图。所有作者均阅读并同意了最终稿件的提交。
AUTHOR's CONTRIBUTIONS
The manuscript was drafted and revised by ZHANG Xinping and CHEN Xiaoyong. WANG Zichuang was responsible for writing guidance and selecting images for the pathological diagnosis section. All the authors have read the last version of paper and consented for submission.
利益冲突声明
所有作者声明不存在利益冲突。
COMPETING INTERESTS
All authors disclose no relevant conflict of interests.
参考文献
/
| 〈 |
|
〉 |

