下颌第一磨牙根管直径和锥度的锥形束CT测量分析
Cone-beam CT measurement of root canal diameter and taper for mandibular first molar
通讯作者: 邢 莉,主任医师,硕士;电子信箱:zhuangja@163.com。
编委: 瞿麟平
收稿日期: 2024-11-27 接受日期: 2025-03-06 网络出版日期: 2025-05-28
| 基金资助: |
|
Corresponding authors: XING Li, E-mail:zhuangja@163.com.
Received: 2024-11-27 Accepted: 2025-03-06 Online: 2025-05-28
作者简介 About authors
李文妙(1991—),女,主治医师,硕士;电子信箱:
目的·通过锥形束CT测量分析下颌第一磨牙的根管直径和锥度,探究根管直径和锥度随年龄变化的特征,并为临床根管预备方案提出优化建议。方法·选择2022年10月—2023年10月于中南大学湘雅医学院附属海口医院口腔医学中心就诊的20~59岁患者,采集240例健康的下颌第一磨牙锥形束CT影像,其中三根管型与四根管型各120例,再按年龄分为4组(20~29岁、30~39岁、40~49岁、50~59岁),每组30例。测量根管长度,在冠、中、尖、孔4个层面分别测量根管直径的颊舌径与近远中径,并计算出冠1/3段、中1/3段、尖1/3段颊舌向与近远中向的根管锥度,分别比较各年龄组间的差异。结果·下颌第一磨牙各根管直径均为颊舌径大于近远中径。在多数根管的部分层面,50岁以下年龄组的根管直径显著大于50~59岁组(均P<0.05)。下颌第一磨牙各根管锥度均为颊舌向大于近远中向,不同年龄组冠1/3段近远中向锥度均值范围为0.07~0.34,中1/3段均值范围为0.03~0.09,尖1/3段均值范围为0.05~0.11;在多数根管的部分区段,50岁以下年龄组的根管锥度显著大于50~59岁组(均P<0.05)。结论·下颌第一磨牙根管结构存在增龄性改变,50岁及以上人群根管直径缩窄、锥度变小。初尖锉的选择建议:三根管型远中根管用15号锉,其余根管及四根管型的所有根管用10号锉;对于50岁及以上患者,三根管型远中根管调整为10号锉,四根管型的近颊根管及远舌根管调整为8号锉。根管的预备锥度建议:冠部预备用锥度0.08的开口锉;中下段预备时三根管型近颊、近舌根管及四根管型近舌、远舌根管用锥度0.04的主尖锉,三根管型远中根管及四根管型近颊根管用锥度0.06的主尖锉,四根管型远颊根管用锥度0.08的主尖锉。根管充填推荐大锥度牙胶尖联合生物陶瓷类封闭剂进行垂直加压充填。
关键词:
Objective ·To analyze the root canal diameter and taper of mandibular first molars using cone-beam CT (CBCT), investigate age-related changes in these parameters, and propose optimized clinical protocols for root canal preparation. Methods ·From October 2022 to October 2023, CBCT images of 240 healthy mandibular first molars (120 three-canal type cases and 120 four-canal type cases) were collected from patients aged 20‒59 years at the Stomatology Center, Haikou Affiliated Hospital of Central South University Xiangya School of Medicine. The three-canal type and the four-canal type samples were respectively divided into four age groups (20‒29, 30‒39, 40‒49, and 50‒59 years), with 30 cases in each group. Root canal length was measured, and buccolingual and mesiodistal diameters were recorded at four levels (coronal, middle, apical, and foramen). The tapers of the coronal 1/3, middle 1/3, and apical 1/3 segments were calculated in both buccolingual and mesiodistal directions. Differences among the age groups were compared. Results ·The buccolingual diameters of all root canals exceeded the corresponding mesiodistal diameters. At several levels of most root canals, the diameters in the <50-year-old groups were significantly larger than those in the 50‒59-year-old group (P<0.05). The buccolingual tapers exceeded the corresponding mesiodistal tapers in all root canals of mandibular first molars. The mean mesiodistal tapers in different age groups ranged from 0.07 to 0.34 in the coronal 1/3 segment, 0.03 to 0.09 in the middle 1/3 segment, and 0.05 to 0.11 in the apical 1/3 segment. At several levels of most root canals, the tapers in the <50-year-old groups were significantly larger than those in the 50‒59-year-old group (P<0.05). Conclusion ·Mandibular first molars exhibit age-related narrowing of root canal diameter and reduced taper in individuals aged ≥50 years. For initial apical file selection, #15 files are recommended for the distal canals in the three-canal type, while #10 files are advised for all other canals in the three-canal type and all canals in the four-canal type. For patients aged 50 years or older, the files for the distal canals in the three-canal type can be adjusted to #10, and the files for the mesiobuccal and distallingual canals in the four-canal type to #8. Regarding preparation taper, a 0.08-taper orifice opener is recommended for the coronal 1/3 segment. During mid-lower segment preparation, 0.04-taper master apical files are suggested for the mesiobuccal and mesiolingual canals in the three-canal type and the mesiolingual and distallingual canals in the four-canal type, 0.06-taper files for the distal canals in the three-canal type and the mesiobuccal canals in the four-canal type, and 0.08-taper files for the distobuccal canals in the four-canal type. Root canal obturation is recommended to be performed using vertical compaction with large-taper gutta-percha cones combined with bioceramic sealer.
Keywords:
本文引用格式
李文妙, 邢莉, 潘英瑜, 黄滢, 杨国访, 刘德达.
LI Wenmiao, XING Li, PAN Yingyu, HUANG Ying, YANG Guofang, LIU Deda.
1 资料和方法
1.1 研究对象
本研究属于临床回顾性研究。收集2022年10月—2023年10月于中南大学湘雅医学院附属海口医院口腔医学中心就诊的20~59岁患者因治疗需要拍摄的锥形束CT影像资料。入选样本的标准:① 无牙体组织缺损、折裂等低密度影。② 牙冠无任何形式的充填体和修复体等高密度影。③ 根管内无高密度充填物影像。④ 牙根及根管影像清晰,牙根发育完全,无根尖孔开放,无牙根内、外吸收或膨大等。⑤ 牙周膜间隙正常,根尖周未见低密度影。⑥ 根管分型无争议,为明确的三根管型或四根管型。三根管型即包括近颊根管(mesiobuccal root canal,MB)、近舌根管(mesiolingual root canal,ML)和远中根管(distal root canal,D),四根管型即包括MB、ML、远颊根管(distal buccal root canal,DB)、远舌根管(distallingual root canal,DL)。最终符合纳入标准的下颌第一磨牙锥形束CT影像240例(三根管型与四根管型各120例),按年龄分为4组,即20~29岁组、30~39岁组、40~49岁组、50~59岁组,每组每种根管类型各30例,采用年龄-根管类型双重匹配设计。2种根管类型各年龄组性别分布见表1。
表1 下颌第一磨牙不同根管类型的年龄组性别分布
Tab 1
| Group | ||||||
|---|---|---|---|---|---|---|
| 20‒29 years | 30‒39 years | 40‒49 years | 50‒59 years | |||
| Three-canal type (n=120) | 16 (53.3) | 20 (66.7) | 12 (40.0) | 16 (53.3) | 64 (53.3) | |
| 14 (46.7) | 10 (33.3) | 18 (60.0) | 14 (46.7) | 56 (46.7) | ||
| Four-canal type (n=120) | 9 (30.0) | 14 (46.7) | 14 (46.7) | 20 (66.7) | 57 (47.5) | |
| 21 (70.0) | 16 (53.3) | 16 (53.3) | 10 (33.3) | 63 (52.5) | ||
1.2 检测仪器及软件
HiRes3D-Plus大视野专业口腔锥形束CT机(北京朗视仪器股份有限公司),扫描参数:管电压100 kV,体素分辨率0.25 mm,视野16 cm×8 cm。使用口腔专业多功能软件SmartV;该软件能进行三维重建,以及二维与三维视图之间的精准导航,有直线测量功能。所有影像在屏幕分辨率为3 840×2 160的液晶显示屏上进行测量分析。
1.3 研究方法
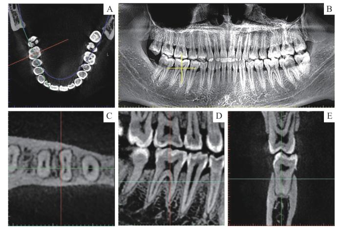
SmartV图像分析软件的观测界面包括全景水平面、全景界面、局部水平面、局部冠状面和局部矢状面(图1)。在全景界面上将“+”标记定位到下颌第一磨牙;在局部水平面,从髓室底至根尖区层面滚轴连续移动观察,区分三根管型和四根管型。通过调整,使得水平面标线与待测根管的长轴垂直,冠状面和矢状面的标线通过待测根管的长轴。
图1
图1
SmartV图像分析软件观测界面
Note: A. A panoramic view of the horizontal interface. B. Panoramic interface. C. Partial horizontal interface. D. Partial coronal interface. E. Partial sagittal interface.
Fig 1
Observation interface of SmartV image analysis software
图2
图2
测量方法
Note: A. Method of measuring root canal length. The root canal was divided into three equal segments with four levels shown in the figure. B. Method of measuring root canal buccolingual diameters. The lines represent buccolingual diameters of the root canals. C. Method of measuring root canal mesiodistal diameters. The lines represent mesiodistal diameters of the root canals.
Fig 2
Methods of measurement
计算根管锥度:根管锥度(C)等于每段根管冠方根管直径(D)和根方根管直径(d)之差除以该段根管长度(L),即C=(D-d)/L(mm/mm)。
1.4 统计学分析
用SPSS 29.0软件统计分析数据。定量资料用x
2 结果
2.1 下颌第一磨牙根管直径
如表2所见,各根管均为颊舌径大于近远中径,且根管直径呈现向根尖方向递减趋势。经单因素方差分析发现,三根管型和四根管型的牙根管直径在部分层面存在年龄差异。Tukey多重比较分析表明:三根管型ML冠层面颊舌径(30~39岁组与50~59岁组、40~49岁组与50~59岁组)、ML尖层面近远中径(20~29岁组与50~59岁组)、D冠层面颊舌径(20~29岁组与40~49岁组、20~29岁组与50~59岁组)与近远中径(20~29岁组与40~49岁组、20~29岁组与50~59岁组),四根管型MB冠层面近远中径(30~39岁组与50~59岁组)、ML冠层面颊舌径(30~39岁组与50~59岁组)与近远中径(30~39岁组与50~59岁组)、DL中层面近远中径(30~39岁组与50~59岁组)、ML孔层面近远中径(30~39岁组与40~49岁组)、DL尖层面近远中径(20~29岁组与50~59岁组、40~49岁组与50~59岁组),括号内组别均表现为低年龄组根管直径显著大于高年龄组(均P<0.05)。Games-Howell检验表明:四根管型MB中层面颊舌径(30~39岁组与50~59岁组)、DB孔层面颊舌径(40~49岁组与50~59岁组),括号内组别也均表现为低年龄组根管直径显著大于高年龄组(均P<0.05)。
表2 下颌第一磨牙根管直径
Tab 2
| Level | Diameter | Three-canal type (n=120) | Four-canal type (n=120) | |||||
|---|---|---|---|---|---|---|---|---|
| MB | ML | D | MB | ML | DB | DL | ||
| Coronal | Buccolingual/mm | 1.60±0.46 | 1.47±0.47① | 3.79±0.69② | 1.65±0.47 | 1.46±0.48③ | 1.95±0.80 | 1.49±0.64 |
| Mesiodistal/mm | 0.92±0.29 | 0.85±0.30 | 1.78±0.61④ | 0.95±0.35⑤ | 0.85±0.26③ | 0.93±0.35 | 0.85±0.37 | |
| Middle | Buccolingual/mm | 0.83±0.29 | 0.81±0.29 | 2.40±0.64 | 0.82±0.27⑥ | 0.80±0.26 | 1.09±0.45 | 0.77±0.30 |
| Mesiodistal/mm | 0.51±0.14 | 0.52±0.16 | 0.75±0.23 | 0.57±0.18 | 0.49±0.16 | 0.67±0.25 | 0.48±0.18⑦ | |
| Apical | Buccolingual/mm | 0.60±0.24 | 0.56±0.23 | 1.22±0.49 | 0.56±0.20 | 0.54±0.20 | 0.69±0.31 | 0.46±0.19 |
| Mesiodistal/mm | 0.37±0.12 | 0.35±0.13⑧ | 0.51±0.14 | 0.37±0.12 | 0.36±0.13 | 0.42±0.15 | 0.33±0.15④ | |
| Foramen | Buccolingual/mm | 0.17±0.08 | 0.17±0.09 | 0.27±0.13 | 0.16±0.08 | 0.17±0.08 | 0.19±0.09⑨ | 0.16±0.08 |
| Mesiodistal/mm | 0.11±0.06 | 0.10±0.06 | 0.16±0.07 | 0.10±0.05 | 0.11±0.06⑩ | 0.12±0.06 | 0.10±0.05 | |
由于在根管预备中,初尖锉的选择主要参考根尖孔的短径,如表3所示,不同年龄组下颌第一磨牙各牙根根尖孔(孔层面)短径(近远中径)为0.08~0.17 mm。
表3 不同年龄组下颌第一磨牙根尖孔的近远中径
Tab 3
| Root canal type | Root canal | Mesiodistal diameter/mm | ||||
|---|---|---|---|---|---|---|
| Mean value | 20‒29 years | 30‒39 years | 40‒49 years | 50‒59 years | ||
| Three-canal type | MB | 0.11±0.06 | 0.14±0.12 | 0.14±0.11 | 0.11±0.06 | 0.11±0.05 |
| ML | 0.10±0.06 | 0.11±0.07 | 0.10±0.07 | 0.10±0.05 | 0.10±0.06 | |
| D | 0.16±0.07 | 0.17±0.07 | 0.17±0.07 | 0.15±0.08 | 0.14±0.06 | |
| Four-canal type | MB | 0.10±0.05 | 0.11±0.05 | 0.11±0.05 | 0.10±0.05 | 0.09±0.06 |
| ML | 0.11±0.06 | 0.11±0.05 | 0.14±0.08 | 0.10±0.06 | 0.11±0.05 | |
| DB | 0.12±0.06 | 0.11±0.06 | 0.13±0.07 | 0.13±0.06 | 0.10±0.06 | |
| DL | 0.10±0.05 | 0.10±0.05 | 0.10±0.06 | 0.11±0.07 | 0.08±0.04 | |
2.2 下颌第一磨牙根管锥度
如表4所示,各类型根管锥度均呈现颊舌向大于近远中向的特征。从根管口至根尖孔,除三根管型D的颊舌向锥度呈渐进性减小趋势外,其余根管锥度均表现为先减小后增大的变化规律。单因素方差分析显示,三根管型和四根管型的根管锥度在部分部位存在年龄差异。Tukey多重比较结果显示:三根管型ML冠1/3段颊舌向(20~29岁组与50~59岁组、40~49岁组与50~59岁组)、ML中1/3段近远中向(20~29岁组与50~59岁组)、D冠1/3段颊舌向(20~29岁组与30~39岁组、20~29岁组与50~59岁组)、D冠1/3段近远中向(20~29岁组与50~59岁组、30~39岁组与50~59岁组)、D中1/3段近远中向(20~29岁组与50~59岁组),四根管型DB冠1/3段颊舌向(20~29岁组与50~59岁组)、DL中1/3段颊舌向(30~39岁组与40~49岁组),括号内组别均表现为低年龄组根管锥度显著大于高年龄组(均P<0.05)。Games-Howell检验显示:三根管型MB尖1/3段近远中向(30~39岁组与40~49岁组)、四根管型DL尖1/3段近远中向(30~39岁组与50~59岁组、40~49岁组与50~59岁组),括号内组别均表现为低年龄组根管锥度显著大于高年龄组(均P<0.05)。
表4 下颌第一磨牙的根管锥度
Tab 4
| Segment | Taper | Three-canal type (n=120) | Four-canal type (n=120) | ||||||
|---|---|---|---|---|---|---|---|---|---|
| MB | ML | D | MB | ML | DB | DL | |||
| Crown 1/3 | Buccolingual | 0.24±0.16 | 0.21±0.15① | 0.37±0.16② | 0.23±0.13 | 0.19±0.13 | 0.26±0.19③ | 0.25±0.22 | |
| Mesiodistal | 0.12±0.09 | 0.10±0.08 | 0.27±0.14④ | 0.11±0.10 | 0.11±0.07 | 0.08±0.09 | 0.13±0.12 | ||
| Middle 1/3 | Buccolingual | 0.07±0.10 | 0.08±0.10 | 0.31±0.15 | 0.08±0.08 | 0.08±0.08 | 0.12±0.12 | 0.10±0.10① | |
| Mesiodistal | 0.04±0.05 | 0.05±0.06⑤ | 0.06±0.06⑥ | 0.06±0.05 | 0.04±0.06 | 0.08±0.07 | 0.05±0.06 | ||
| Apical 1/3 | Buccolingual | 0.13±0.08 | 0.12±0.07 | 0.25±0.13 | 0.12±0.06 | 0.11±0.06 | 0.15±0.09 | 0.11±0.07 | |
| Mesiodistal | 0.08±0.04⑦ | 0.08±0.04 | 0.09±0.04 | 0.08±0.04 | 0.07±0.04 | 0.09±0.04 | 0.08±0.06⑥ | ||
表5 不同年龄组下颌第一磨牙冠1/3段近远中向根管锥度
Tab 5
| Root canal type | Root canal | Mesiodistal taper | ||||
|---|---|---|---|---|---|---|
| Mean value | 20‒29 years | 30‒39 years | 40‒49 years | 50‒59 years | ||
| Three-canal type | MB | 0.12±0.09 | 0.12±0.07 | 0.15±0.09 | 0.12±0.09 | 0.11±0.09 |
| ML | 0.10±0.08 | 0.10±0.09 | 0.09±0.08 | 0.11±0.08 | 0.11±0.09 | |
| D | 0.27±0.14 | 0.34±0.14 | 0.31±0.13 | 0.25±0.14 | 0.21±0.14 | |
| Four-canal type | MB | 0.11±0.10 | 0.09±0.07 | 0.13±0.11 | 0.13±0.12 | 0.08±0.06 |
| ML | 0.11±0.07 | 0.11±0.08 | 0.13±0.07 | 0.10±0.06 | 0.09±0.07 | |
| DB | 0.08±0.09 | 0.09±0.08 | 0.07±0.10 | 0.09±0.08 | 0.07±0.08 | |
| DL | 0.13±0.12 | 0.13±0.13 | 0.13±0.10 | 0.11±0.08 | 0.13±0.16 | |
表6 不同年龄组下颌第一磨牙中1/3段近远中向根管锥度
Tab 6
| Root canal type | Root canal | Mesiodistal taper | ||||
|---|---|---|---|---|---|---|
| Mean value | 20‒29 years | 30‒39 years | 40‒49 years | 50‒59 years | ||
| Three-canal type | MB | 0.04±0.05 | 0.04±0.04 | 0.03±0.06 | 0.05±0.05 | 0.04±0.04 |
| ML | 0.05±0.06 | 0.07±0.07 | 0.06±0.05 | 0.06±0.06 | 0.03±0.05 | |
| D | 0.06±0.06 | 0.09±0.05 | 0.06±0.06 | 0.06±0.06 | 0.04±0.05 | |
| Four-canal type | MB | 0.06±0.05 | 0.06±0.06 | 0.07±0.06 | 0.06±0.04 | 0.05±0.04 |
| ML | 0.04±0.06 | 0.05±0.06 | 0.04±0.06 | 0.04±0.05 | 0.03±0.05 | |
| DB | 0.08±0.07 | 0.09±0.06 | 0.07±0.07 | 0.07±0.07 | 0.08±0.08 | |
| DL | 0.05±0.06 | 0.05±0.05 | 0.07±0.08 | 0.04±0.06 | 0.06±0.05 | |
表7 不同年龄组下颌第一磨牙尖1/3段近远中向根管锥度
Tab 7
| Root canal type | Root canal | Mesiodistal taper | ||||
|---|---|---|---|---|---|---|
| Mean value | 20‒29 years | 30‒39 years | 40‒49 years | 50‒59 years | ||
| Three-canal type | MB | 0.08±0.04 | 0.09±0.05 | 0.09±0.04 | 0.07±0.03 | 0.08±0.03 |
| ML | 0.08±0.04 | 0.07±0.04 | 0.08±0.04 | 0.07±0.05 | 0.09±0.04 | |
| D | 0.09±0.04 | 0.09±0.03 | 0.09±0.03 | 0.09±0.04 | 0.11±0.04 | |
| Four-canal type | MB | 0.08±0.04 | 0.09±0.04 | 0.08±0.04 | 0.08±0.04 | 0.07±0.04 |
| ML | 0.07±0.04 | 0.08±0.04 | 0.07±0.04 | 0.07±0.04 | 0.07±0.04 | |
| DB | 0.09±0.04 | 0.09±0.05 | 0.10±0.04 | 0.10±0.04 | 0.08±0.04 | |
| DL | 0.08±0.06 | 0.09±0.07 | 0.09±0.05 | 0.09±0.05 | 0.05±0.04 | |
2.3 性别与年龄对下颌第一磨牙根管直径和锥度的交互效应分析
为控制四根管型样本年龄组间性别分布差异(表1)对结果的潜在影响,本研究采用GLM分析性别与年龄对根管直径及锥度的交互效应,并对性别分层亚组进行敏感性分析。
2.3.1 GLM分析
性别主效应:四根管型各根管直径(颊舌径F=0.82,P=0.367;近远中径F=1.04,P=0.308)及锥度(颊舌向F=0.95,P=0.331;近远中向F=1.12,P=0.291)的性别主效应均无统计学意义。
性别-年龄交互效应:性别与年龄的交互项对四根管型各根管参数的影响不显著(交互项F值范围0.31~1.57,P值范围0.213~0.857)。
2.3.2 性别分层亚组分析
性别分层分析表明,男性根管直径呈现显著的年均缩窄趋势(β=-0.019 mm/年,P=0.018),女性则表现为总体累积缩窄(Δ=-0.06 mm,P=0.011)(β为线性回归系数,Δ为基线至终点的总变化量)。
由此可见,性别分布差异未对年龄相关性结论产生显著偏倚,研究结论具有稳健性。
3 讨论
3.1 下颌第一磨牙根管直径及其增龄性特点
本研究选取的下颌第一磨牙均为健康牙齿,避免因疾病及治疗史导致的根管形态改变。基于锥形束CT影像学测量发现,健康下颌第一磨牙根管系统呈现颊舌径大于近远中径的解剖特征,且管径呈现冠方向根尖区逐渐缩窄的趋势;此结果与国内外经典解剖研究[2-4]具有高度一致性,证实了锥形束CT三维重建技术在根管形态学研究中的可靠性。值得注意的是,三根管型的ML、D与四根管型的MB、ML的颊舌径和近远中径均表现出增龄性改变(P<0.05),而四根管型的DB仅在颊舌径、DL仅在近远中径呈现增龄性改变。多组间比较显示,50岁以下年龄组的根管直径显著小于50~59岁组,提示下颌第一磨牙根管系统的生理性钙化进程在50岁后呈现加速趋势。尽管样本总体性别分布差异无统计学意义,但各年龄亚组存在潜在性别比例偏倚,需后续研究通过性别分层抽样设计进一步验证解剖特征的性别差异。
3.2 下颌第一磨牙根管锥度及其增龄性特点
3.3 基于解剖特征的临床决策优化
根管预备方案设计需综合考虑根尖孔解剖参数与锥度演变特征。临床上初尖锉的选择以能达到根管工作长度又稍有摩擦感为标准,主尖锉比初尖锉增大3个器械号数。如果根管存在弯曲或不规则结构也可造成小号锉探测的摩擦感,此时选择的初尖锉会比实际根尖孔直径小,从而造成主尖锉偏小而使根管预备不足。因此参考根尖孔的短径(近远中径)选择初尖锉比较合理。根据表3所示,参考下颌第一磨牙根尖孔(孔层面)近远中径均值,下颌第一磨牙初尖锉的建议为:三根管型的MB、ML采用10号,D采用15号;四根管型各根管均推荐10号。此外,50~59岁组部分根管的根尖孔近远中径均值小于总体均值,所以对于50岁及以上的患者,三根管型的D也建议采用10号初尖锉,四根管型的MB、DL建议采用8号初尖锉。以上关于初尖锉的选择在实际应用中还需结合根管通畅度进行调整。
根管中下段预备需重点考量根管中1/3与尖1/3段的锥度。本研究中,下颌第一磨牙各根管锥度最小的区段在中1/3段近远中向,这与相关报道[10]中下颌第一磨牙近中根管的危险区主要位于根中段的理论相吻合,因此根管预备时应关注根中段近远中向的根管锥度。如表6所示,各根管中1/3段近远中向锥度均值范围为0.03~0.09。生物力学的研究表明:锥度0.04与0.06的镍钛主尖锉预备的根管清洁效果无显著差异[11],但当主尖锉锥度达到0.06时牙体抗折性能开始下降[12],主尖锉锥度达到0.08时抗折能力显著降低[13]。根据实验数据[14],光动力辅助冲洗技术通过激光活化光敏剂产生的活性氧自由基,可有效杀灭根管内的细菌以及清除碎屑,在锥度范围0.04~0.06的根管系统中均能维持良好清洁效果。这一发现证实,在维持同等清洁效能的前提下,采用小锥度预备方案可减少牙本质切削量,这为“微创根管治疗”中的有限预备理念提供了理论依据。据此提出分级预备策略:三根管型的MB、ML,四根管型的ML、DL建议采用锥度0.04的主尖锉,三根管型的D、四根管型的MB建议采用锥度0.06的主尖锉,四根管型DB建议采用锥度0.08的主尖锉。特别需要关注的是,50岁及以上患者三根管型或四根管型的ML中1/3段锥度均值降至0.03;临床上建议对于这部分患者,术前可通过数字化X线片评估根管弯曲度,对C形或S形弯曲者严格限制预备锥度,建议不超过0.04。
虽然本研究中四根管型样本的年龄组间性别分布存在差异,但通过GLM分析及性别分层亚组分析后发现,性别对主要指标无显著交互效应,性别亚组中年龄对根管参数的效应方向与总体分析一致,提示结论的稳健性。后续研究将采用性别1∶1匹配设计,以消除性别比例偏倚对结果的潜在干扰。
本实验研究下颌第一磨牙根管直径和锥度的规律及其增龄性特点,为临床上的根管治疗提供参考,减少根管预备不足导致的感染控制不佳,亦可避免过度预备导致的牙体抗折能力下降,更好地兼顾根管感染的控制以及牙体组织的保存,从而提高根管治疗的成功率。
作者贡献声明
李文妙负责文章撰写;李文妙、邢莉负责实验设计、文章修改;李文妙、潘英瑜、黄滢负责实验操作及数据采集;李文妙、邢莉、杨国访、刘德达负责数据分析和解释。所有作者均阅读并同意了最终稿件的提交。
AUTHOR's CONTRIBUTIONS
LI Wenmiao was responsible for manuscript drafting; LI Wenmiao and XING Li contributed to experimental design and manuscript revision; LI Wenmiao, PAN Yingyu, and HUANG Ying performed the experiments and data acquisition; LI Wenmiao, XING Li, YANG Guofang, and LIU Deda conducted data analysis and interpretation. All authors have read and approved the final manuscript for submission.
利益冲突声明
所有作者声明不存在利益冲突。
COMPETING INTERESTS
All authors declare no relevant conflict of interests.
参考文献
/
| 〈 |
|
〉 |

