重度牙周炎小鼠模型构建方法的优化与评价
Optimization and evaluation of mouse model construction method for severe periodontitis
通讯作者: 刘 昕,研究员,博士;电子信箱:liuxin8253@sjtu.edu.cn。
编委: 崔黎明
收稿日期: 2024-09-09 接受日期: 2024-09-27 网络出版日期: 2025-01-17
| 基金资助: |
|
Corresponding authors: LIU Xin, E-mail:liuxin8253@sjtu.edu.cn.
Received: 2024-09-09 Accepted: 2024-09-27 Online: 2025-01-17
目的·比较单纯丝线结扎和丝线结扎与注射牙龈卟啉单胞菌来源的脂多糖(Porphyromonasgingivalis lipopolysaccharide,P.g. LPS)联合这2种牙周炎造模方法,探究更为理想的重度牙周炎小鼠模型。方法·将15只C57BL/6小鼠分为健康对照组、单纯丝线结扎牙周炎造模组和丝线结扎并注射P.g. LPS联合牙周炎造模组。14 d后,对小鼠进行以下检查:体视显微镜下检测牙齿松动度、探诊深度;通过显微计算机断层扫描(micro computed tomography,Micro-CT)和体视显微镜分析小鼠牙槽骨吸收程度[牙槽骨骨体积分数、骨密度、釉质牙骨质界(cemento-enamel junction,CEJ)到牙槽嵴顶(alveolar bone crest,ABC)的距离和CEJ与ABC之间的面积],采用酶联免疫吸附试验评估小鼠血清炎症因子白细胞介素-1β(interleukin-1β,IL-1β)、肿瘤坏死因子-α(tumor necrosis factor-α,TNF-α)水平。结果·与单纯丝线结扎的小鼠相比,丝线结扎并连续注射P.g. LPS的小鼠上颌左侧第二磨牙的牙齿松动度动态变化[(2.20±0.45)vs(1.40±0.55)]、平均探诊深度[(1.05±0.21)mm vs (0.58±0.39)mm]显著增加,差异具有统计学意义(P<0.05)。与单纯丝线结扎的小鼠相比,丝线结扎并连续注射P.g. LPS的小鼠上颌左侧第二磨牙的骨体积分数[(16.44%±3.35%)vs(28.97%±7.90%)]、骨密度[(0.42±0.04)g/cm3vs(0.55±0.08)g/cm3]显著降低,CEJ到ABC的距离[(0.88±0.03)mm vs(0.74±0.12)mm]和CEJ与ABC之间的面积[(0.34±0.01)mm2vs(0.30±0.02)mm2]显著增加,差异具有统计学意义(均P<0.05)。与单纯丝线结扎的小鼠相比,丝线结扎并连续注射P.g. LPS的小鼠血清中TNF-α、IL-1β的含量明显升高,差异具有统计学意义(均P<0.05)。结论·丝线结扎并连续注射P.g. LPS的小鼠牙周炎模型构建方法可能更适合用于研究重度牙周炎疾病的发生发展与治疗。
关键词:
Objective ·To investigate an optimal severe periodontitis mouse model by comparing two induction methods: simple ligature and ligature combined with injection of Porphyromonasgingivalis lipopolysaccharide (P.g. LPS). Methods ·Fifteen C57BL/6 mice were divided into three groups: a healthy control group, a simple ligature-induced periodontitis group, and a ligature combined with P.g. LPS injection-induced periodontitis group. After 14 d, the following evaluations were conducted: tooth mobility and probing depth under a stereomicroscope; alveolar bone resorption [bone volume fraction, bone mineral density, the distance from the cemento-enamel junction (CEJ) to the alveolar bone crest (ABC), and the area between CEJ and ABC] analyzed via micro computed tomography (Micro-CT) and stereomicroscopic examination. The serum levels of inflammatory cytokines interleukin-1β (IL-1β) and tumor necrosis factor-α (TNF-α) were assessed by enzyme-linked immunosorbent assay (ELISA). Results ·Compared with the simple ligature group, mice in the ligature with P.g. LPS injection group exhibited significantly increased tooth mobility [(2.20±0.45) vs (1.40±0.55)] and probing depth [(1.05±0.21) mm vs (0.58±0.39) mm], with statistically significant differences (P<0.05). The ligature with P.g. LPS injection group also demonstrated significantly reduced bone volume fraction [(16.44%±3.35%) vs (28.97%±7.90%)] and bone mineral density [(0.42±0.04) g/cm3vs (0.55±0.08) g/cm3], as well as increased distance from CEJ to ABC [(0.88±0.03) mm vs (0.74±0.12) mm] and area between CEJ and ABC [(0.34±0.01) mm2vs (0.30±0.02) mm2], all with statistically significant differences (all P<0.05). Additionally, serum levels of TNF-α and IL-1β were significantly elevated in the ligature with P.g. LPS injection group compared to the simple ligature group (both P<0.05). Conclusion ·The method of ligature combined with continuous P.g. LPS injection is more effective for constructing a severe periodontitis mouse model, making it suitable for studying the progression and treatment of severe periodontitis.
Keywords:
本文引用格式
王佳璇, 张骞骞, 隋佰延, 刘昕.
WANG Jiaxuan, ZHANG Qianqian, SUI Baiyan, LIU Xin.
目前已有的研究牙周炎的动物模型分为:非人灵长类动物(如恒河猴)、小型猪、比格犬、啮齿类动物(主要包括大鼠和小鼠)以及其他动物(如马、兔等)。其中,非人灵长类动物和小型猪具有与人相近的口腔结构和疾病进程,但过于昂贵的实验费用与高要求的饲养标准令其难以用于大规模研究。比格犬虽然费用相对较少,但需要的护理与照料条件同样严苛,且犬类牙周病变具有自限性[4]。啮齿类动物费用较低,易于实验性诱导牙周炎,且具有与人类较为接近的磨牙结构。因此,在综合考虑实验费用、动物伦理和模拟人类疾病的可行性等方面,啮齿类动物被认为是目前研究中最常用的牙周炎动物模型[4-6]。然而,啮齿类动物具有天然抵抗牙周炎的能力,拥有与人类不同的口腔菌群。目前关于啮齿类动物牙周炎模型的构建方法与造模效果的优劣尚无定论。
啮齿类动物(大鼠、小鼠等)牙周炎造模常见的方法主要有丝线结扎、注射细菌、细菌灌胃和注射细菌抗原等,其中最常见的是丝线结扎法[7]。丝线结扎法造模时间短,费用要求低,黏膜损伤小,结扎的丝线可以促进急性牙周炎症和快速的牙槽骨吸收。但它很难模拟慢性牙周炎,造模不当容易造成机械损伤,造模过程中需多次检查丝线是否脱落,且造模时间短的小鼠牙槽骨去除丝线后易于恢复[8]。注射细菌可以促进进行性牙槽骨吸收,进程与慢性牙周炎相一致,还能用于研究与感染相关的特定牙周宿主-细菌相互作用[7]。相较于注射细菌法,细菌灌胃法可以在不麻醉小鼠的情况下进行,操作更为简便,但可能造成小鼠压力增加和食管创伤[7]。而注射细菌或细菌灌胃的方法所需时间长,注射或灌胃次数多,造成的牙槽骨损失量相对不足,其造模有效性取决于所用菌株,并且因为涉及细菌实验,必须在微生物实验室中才能进行[9]。注射细菌抗原最常用的是来自牙龈卟啉单胞菌的脂多糖(Porphyromonasgingivalis lipopolysaccharide,P.g. LPS),该方法不需要细菌培养或接种,当应用LPS至少2周时,可诱导低级别全身性炎症;但该方法造模效果不佳,短期内造成的牙槽骨损失量相对不足[10-11],仍需要重复注射,且不能模拟细菌和宿主间的相互作用[7]。
因此,为了更好地建立适合用于研究重度牙周炎治疗的啮齿类动物模型,本研究拟采用丝线结扎和注射P.g. LPS这2种构建方法相联合,构建一种兼具牙槽骨吸收、细菌聚集和炎症浸润等典型特征的重度牙周炎模型,并对其效果进行评估分析,旨在探究如何更为安全、高效、简便地构建重度牙周炎小鼠模型,为牙周炎研究提供一种可选用的新模型。
1 材料与方法
1.1 实验动物
15只10周龄左右的健康的SPF级C57BL/6雄性小鼠,体质量23~27 g,由上海吉辉实验动物饲养有限公司提供。动物生产许可证号:SCXK(沪)2022-0009。动物使用许可证号:SYXK(沪)2024-0016。饲养于无特定病原体(specific pathogen free,SPF)级动物房,环境温度22 ℃±2 ℃,12 h昼夜交替,自由饮食。
1.2 实验试剂与仪器
体视显微镜(Olympus Corporation,日本),显微镊(Dumont,瑞士),微量进样针(Hamilton,瑞士),酶标仪(Thermo Fisher Scientific,美国),X射线显微断层成像系统(Bruker,美国)。
三溴乙醇(Thermo Fisher Scientific,美国),P.g. LPS(InvivoGen,法国),异氟烷(深圳市瑞沃德生命科技股份有限公司),4%多聚甲醛(上海碧云天生物技术有限公司),白细胞介素-1β(interleukin -1β,IL-1β)、肿瘤坏死因子-α(tumor necrosis factor-α,TNF-α)酶联免疫吸附分析(enzyme-linked immunosorbent assay,ELISA)试剂盒(深圳欣博盛生物科技有限公司)。
1.3 实验方法
1.3.1 小鼠分组与牙周炎模型的建立
将15只小鼠随机分为3组:健康对照组(control组,N组)、单纯丝线结扎牙周炎造模组(ligature组,L组)、丝线结扎并注射P.g. LPS联合牙周炎造模组(ligature/P.g. LPS组,LP组),每组5只,分笼饲养。其中,N组不做任何处理。L组在1%三溴乙醇麻醉下固定于手术板,使用5-0丝线结扎上颌左侧第二磨牙,之后每3 d检查1次丝线脱落情况;如有脱落则用相同方法重新结扎,造模时间为14 d。LP组在1%三溴乙醇麻醉下固定于手术板,使用5-0丝线结扎上颌左侧第二磨牙后,用微量进样针在小鼠上颌左侧第二磨牙腭侧牙龈位置注射2 μL浓度为10 μg/μL的P.g. LPS溶液,之后每3 d注射1次,共注射4次,造模时间为14 d。
1.3.2 临床观察指标
参考《2018牙周病和植体周病国际新分类》[12]在小鼠造模前和实施安乐死前测量牙齿松动度。造模14 d后,去除结扎丝线。使用1%三溴乙醇对小鼠实施安乐死后,测量牙齿松动度、探诊出血情况、探诊深度。牙齿松动度:使用显微镊检查小鼠上颌第二磨牙松动情况,其分为Ⅰ度松动(颊腭向松动)、Ⅱ度松动(颊腭向和近远中向均松动)、Ⅲ度松动(颊腭向、近远中向和垂直向均松动)。探诊出血情况:使用20号牙胶尖轻轻插入牙周袋后取出,观察10 s是否出血。探诊深度:使用标记刻度的20号牙胶尖轻轻插入小鼠上颌左侧第二磨牙腭侧近中、中、远中共3个位点,取出后记录牙胶尖探得的牙周袋深度。
取小鼠左侧上颌骨进行亚甲蓝染色,体视显微镜下拍摄小鼠上颌骨腭侧图像,使用ImageJ软件计算第二磨牙釉质牙骨质界与牙槽嵴顶之间的面积。
取小鼠眼静脉丛血液进行血常规检测,检测内容包括白细胞、淋巴细胞、单核细胞、粒细胞、红细胞计数,血细胞比容,淋巴细胞、单核细胞、中性粒细胞百分比和血红蛋白。
1.3.3 ELISA
造模14 d后,小鼠麻醉下眼静脉丛采血,静置并按40×g离心后收集血清。按照1∶10比例用去离子水稀释后,分别进行TNF-α、IL-1β分子的ELISA检测。在抗体预包被酶标板中加入标准品和样品孵育,加入显色底物后孵育15 min并使用反应终止液终止反应,立即在波长450 nm处用酶标仪读取吸光度。根据吸光度值绘制标准曲线,测定TNF-α和IL-1β的含量。
1.3.4 显微计算机断层扫描
造模14 d后取材,将剥离牙龈的左侧上颌骨浸入4%多聚甲醛中固定24 h后,在9 μm的体素分辨率下对左侧上颌骨进行显微计算机断层扫描(micro computed tomography,Micro-CT)。在上颌左侧第二磨牙的腭侧进行测量,对骨体积分数、骨密度和釉质牙骨质界到牙槽嵴顶的距离进行定量分析。
1.3.5 苏木精-伊红染色
取小鼠左侧上颌骨牙龈,4%多聚甲醛固定后,使用乙醇进行梯度脱水,石蜡包埋后,分别沿第二磨牙近远中向和牙龈水平向连续切片,苏木精染色3 min,流水冲洗30 s,盐酸乙醇分化2 s,流水冲洗30 s,伊红染色30 s,流水冲洗30 s,中性树胶封片后,光学显微镜下观察牙周骨组织吸收程度和炎症水平并拍照保存。
1.4 统计学分析
数据采用GrrapPad Prism软件进行分析。定量资料采用x±s表示,通过使用单因素方差分析(one-way ANOVA)来评估组间差异。P<0.05表示差异有统计学意义。
2 结果
2.1 小鼠牙周临床表现
造模14 d后,体视显微镜下去除结扎丝线并观察小鼠的牙周临床表现:N组小鼠的第二磨牙牙龈呈粉红色,边缘菲薄,紧贴牙颈部,质地坚韧;L组小鼠的第二磨牙牙龈呈淡红色,质地松软;LP组小鼠的第二磨牙牙龈呈暗红色,质地松软,且在去除结扎丝线过程中易出血(图1)。
图1
图1
小鼠上颌左侧口腔临床表现
Note: Images observed before and after removing the suture. M1—molar 1; M2—molar 2; M3—molar 3.
Fig 1
Clinical manifestations of the left maxilla in mice
图2
图2
小鼠上颌左侧口腔牙齿松动度动态变化和探诊深度检测
Note: A. Changes in M2 mobility. B. Probing depth.
Fig 2
Dynamic changes in tooth mobility and probing depth in the left maxilla of mice
2.2 小鼠牙槽骨吸收程度
造模14 d后,分析上颌左侧牙槽骨的Micro-CT结果;根据Micro-CT二维图像,测量第二磨牙区域的骨体积分数、骨密度和第二磨牙近中釉质牙骨质界到牙槽嵴顶的距离,对小鼠牙槽骨吸收情况进行分析。与N组相比,L组和LP组的骨体积分数和骨密度显著降低,第二磨牙近中釉质牙骨质界到牙槽嵴顶的距离显著增加,差异具有统计学意义(P<0.05,图3)。与L组相比,LP组的骨体积分数[(16.44%± 3.35%)vs(28.97%±7.90%)]和骨密度[(0.42±0.04)g/cm3vs(0.55±0.08)g/cm3]进一步降低,第二磨牙近中釉质牙骨质界到牙槽嵴顶的距离[(0.88±0.03)mm vs(0.74±0.12)mm]进一步增加,差异具有统计学意义(P<0.05,图3)。
图3
图3
小鼠左侧上颌骨Micro-CT图像
Note: A. Micro-CT 2D and 3D images of the left maxilla in mice. B. Bone volume fraction. C. Bone mineral density. D. Distance from the cemento-enamel junction (CEJ) to the alveolar bone crest (ABC).
Fig 3
Micro-CT images of the left maxilla in mice
图4
图4
小鼠左侧上颌骨显微镜下图像
Note: A. Representative methylene blue staining of the mouse maxilla, showing the space between the cemento-enamel junction (CEJ) and the alveolar bone crest (ABC). B. Measurement of the area between CEJ and ABC.
Fig 4
Microscopic images of the left maxilla in mice
2.3 小鼠牙周炎症水平
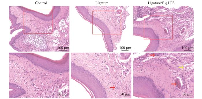
采用苏木精-伊红(hematoxylin-eosin,H-E)染色观察牙龈的炎症情况,结果显示:N组牙周组织结构完整,L组牙龈有少量的炎症细胞浸润,LP组牙龈有明显炎症细胞浸润、组织水肿和坏死。提示丝线结扎和注射P.g. LPS联合法比单纯丝线结扎法造成了更为严重的小鼠牙周局部炎症反应(图5)。
图5
图5
小鼠上颌左侧第二磨牙处牙龈组织H-E染色结果
Note: Red arrows indicate inflammatory cells; yellow arrows indicate edema and necrosis.
Fig 5
H-E staining results of gingival tissue at the second molar in the left maxilla of mice
2.4 小鼠全身炎症水平
分析造模14 d后3组小鼠血清中TNF-α、IL-1β的含量(n=4),结果显示:与N组和L组相比,LP组小鼠血清中TNF-α、IL-1β的含量明显升高,差异具有统计学意义(P<0.05,图6)。
图6
图6
小鼠血清中TNF-α、IL-1β的含量
Note: A. Levels of TNF-α. B. Levels of IL-1β.
Fig 6
Serum levels of TNF-α and IL-1β in mice
对造模14 d后3组小鼠血液进行血常规检测,结果显示:与N组相比,L组和LP组小鼠的淋巴细胞百分比明显降低、中性粒细胞百分比明显升高,差异具有统计学意义(P<0.05,图7)。这提示丝线结扎和注射P.g. LPS联合法比单纯丝线结扎法造成了更为严重的小鼠全身炎症水平。
图7
图7
小鼠血常规检查结果
Note: A. White blood cell. B. Lymphocyte. C. Monocyte. D. Granulocyte. E. Red blood cell. F. Hematocrit. G. Lymphocyte percentage. H. Monocyte percentage. I. Neutrophilic granulocyte percentage. J. Hemoglobin.
Fig 7
Hematological examination results in mice
3 讨论
当前,牙周炎治疗研究仍缺乏理想的实验动物模型。小鼠牙周丝线结扎法常用来建造模拟人牙周炎的实验动物模型,其造模时间通常为10~14 d。尽管采用该方法易出现急性牙槽骨吸收,但在去除结扎丝线后,由于小鼠具有自然恢复牙槽骨吸收的能力,可能导致该方法建造的模型不足以用于牙周炎治疗等方面的研究[1,8,13]。因此,本研究进一步对丝线结扎法进行优化,构建丝线结扎联合注射P.g. LPS的小鼠牙周炎模型的造模方法,进行为期14 d的短期快速造模,并观察小鼠牙槽骨吸收程度和局部及全身炎症水平的变化。本研究的重度牙周炎界定方法参考《2018牙周病和植体周病国际新分类》[12],以附着丧失、骨吸收程度、探诊深度、根分叉病变、牙齿松动度为主要诊断依据;此外以炎症因子水平为参考依据,来界定小鼠的重度牙周炎。研究结果显示丝线结扎并注射P.g. LPS联合牙周炎造模的小鼠牙周炎的特征明显:釉质牙骨质界与牙槽嵴顶之间的面积和平均探诊深度显著高于健康对照组;牙槽骨骨体积分数和骨密度均显著低于健康对照组;牙齿松动超过Ⅱ度;炎症因子TNF-α、IL-1β水平上调,炎症较明显,提示符合重度牙周炎的判定要求。
以往的研究中,为了弥补单纯丝线结扎造模导致的不足,常常将2种或以上的牙周炎造模方法相结合,较为常见的是丝线结扎联合细菌灌胃或局部涂抹的造模方法[7]。但这一联合方法选用细菌进行造模,需要具备微生物实验操作条件,同时对牙周致病菌株的有效性要求较高,实施上存在一定的难度和危险性。作为该方法的替代,本研究选择注射相对更为安全的致病菌的毒力因子——被认为是牙周炎发生发展的主要效应因子之一的P.g. LPS。此外,通过与以往单纯丝线结扎、单纯注射LPS或结扎联合细菌灌胃等小鼠牙周炎造模的研究[14-18]比较,本研究方法的造模时间和注射次数减少,且造模14 d后丝线结扎联合注射P.g. LPS的小鼠牙周组织损伤和炎症程度高于单纯丝线结扎造模的小鼠,提示该方法既能减少频繁(如隔日)麻醉和注射对小鼠造成的损伤,又能达到重度牙周炎造模的效果。
牙槽骨吸收是牙周炎的主要病理变化之一。本研究通过体视显微镜和Micro-CT分析单纯丝线结扎和丝线结扎联合注射P.g. LPS造模的小鼠牙槽骨吸收程度的指标:釉质牙骨质界到牙槽嵴顶的距离和它们之间的面积以及骨体积分数。结果表明丝线结扎联合注射P.g. LPS的小鼠在14 d后牙槽骨吸收程度显著高于丝线结扎的小鼠,与SUH等[19]的实验结果相符合。这表明在短期时间内,丝线结扎联合注射P.g. LPS的造模方式能有效促进牙槽骨的吸收程度,造成更严重的附着丧失和明显的根分叉病变。该方法构建的小鼠牙周炎模型病理和影像表现更为严重。既往研究报道,丝线结扎联合口腔涂抹单种致病菌的牙周炎造模方法并不能加重小鼠牙槽骨吸收程度[4];丝线结扎联合口腔涂抹多种混合致病菌的造模方法虽然有被报道可以加重小鼠牙槽骨吸收程度[15,20],但混合致病菌更难获取和培养,危险性更高。因此,使用P.g. LPS代替混合致病菌能更安全且高效地构建牙槽骨吸收程度更严重的小鼠牙周炎模型。
综上所述,丝线结扎联合注射P.g. LPS的小鼠牙周炎造模方法,可以更安全、快速、有效地在短期时间内诱发小鼠的牙周炎症,让小鼠出现更严重的附着丧失和牙槽骨吸收,更适合用于牙周炎治疗等研究的重度小鼠牙周炎模型的构建。
作者贡献声明
刘昕负责实验设计、论文修改;王佳璇、张骞骞、隋佰延参与实验操作、数据收集与整理、数据统计和论文书写。所有作者均阅读并同意了最终稿件的提交。
AUTHOR's CONTRIBUTIONS
LIU Xin designed the experiment and revised the paper. WANG Jiaxuan, ZHANG Qianqian, and SUI Baiyan carried out the experimental operations, data collection and sorting, data analysis and paper writing. All the authors have read the final version of paper and consented to its submission.
利益冲突声明
所有作者声明不存在利益冲突。
COMPETING INTERESTS
All authors disclare no relevant conflict of interests.
参考文献
/
| 〈 |
|
〉 |

