上海交通大学学报(医学版) ›› 2025, Vol. 45 ›› Issue (1): 79-86.doi: 10.3969/j.issn.1674-8115.2025.01.009

• 论著 · 技术与方法 • 上一篇    下一篇

重度牙周炎小鼠模型构建方法的优化与评价

王佳璇(), 张骞骞, 隋佰延, 刘昕()   

  1. 上海交通大学医学院附属第九人民医院口腔材料科,上海交通大学口腔医学院,国家口腔医学中心,国家口腔疾病临床医学研究中心,上海市口腔医学重点实验室,上海市口腔医学研究所,上海 200011
  • 收稿日期:2024-09-09 接受日期:2024-09-27 出版日期:2025-01-28 发布日期:2025-01-17
  • 通讯作者: 刘 昕,研究员,博士;电子信箱:liuxin8253@sjtu.edu.cn
  • 作者简介:王佳璇(2000—),女,硕士生;电子信箱:wangjiaxuan@sjtu.edu.cn
  • 基金资助:
    国家自然科学基金(82271024);上海交通大学医学院附属第九人民医院交叉基金(JYJC202309);上海市重中之重研究中心项目(2022ZZ01017);中国医学科学院医学与健康科技创新工程项目(2019-I2M-5-037)

Optimization and evaluation of mouse model construction method for severe periodontitis

WANG Jiaxuan(), ZHANG Qianqian, SUI Baiyan, LIU Xin()   

  1. Department of Dental Materials, Shanghai Ninth People's Hospital, Shanghai Jiao Tong University School of Medicine; College of Stomatology, Shanghai Jiao Tong University; National Center for Stomatology; National Clinical Research Center for Oral Diseases; Shanghai Key Laboratory of Stomatology; Shanghai Institute of Stomatology, Shanghai 200011, China
  • Received:2024-09-09 Accepted:2024-09-27 Online:2025-01-28 Published:2025-01-17
  • Contact: LIU Xin, E-mail: liuxin8253@sjtu.edu.cn.
  • Supported by:
    National Natural Science Foundation of China(82271024);Cross Foundation of Ninth People′s Hospital Affiliated to Shanghai Jiao Tong University School of Medicine(JYJC202309);Shanghai′s Top Priority Research Center(2022ZZ01017);Chinese Academy of Medical Sciences Innovation Fund for Medical Sciences(2019-I2M-5-037)

摘要:

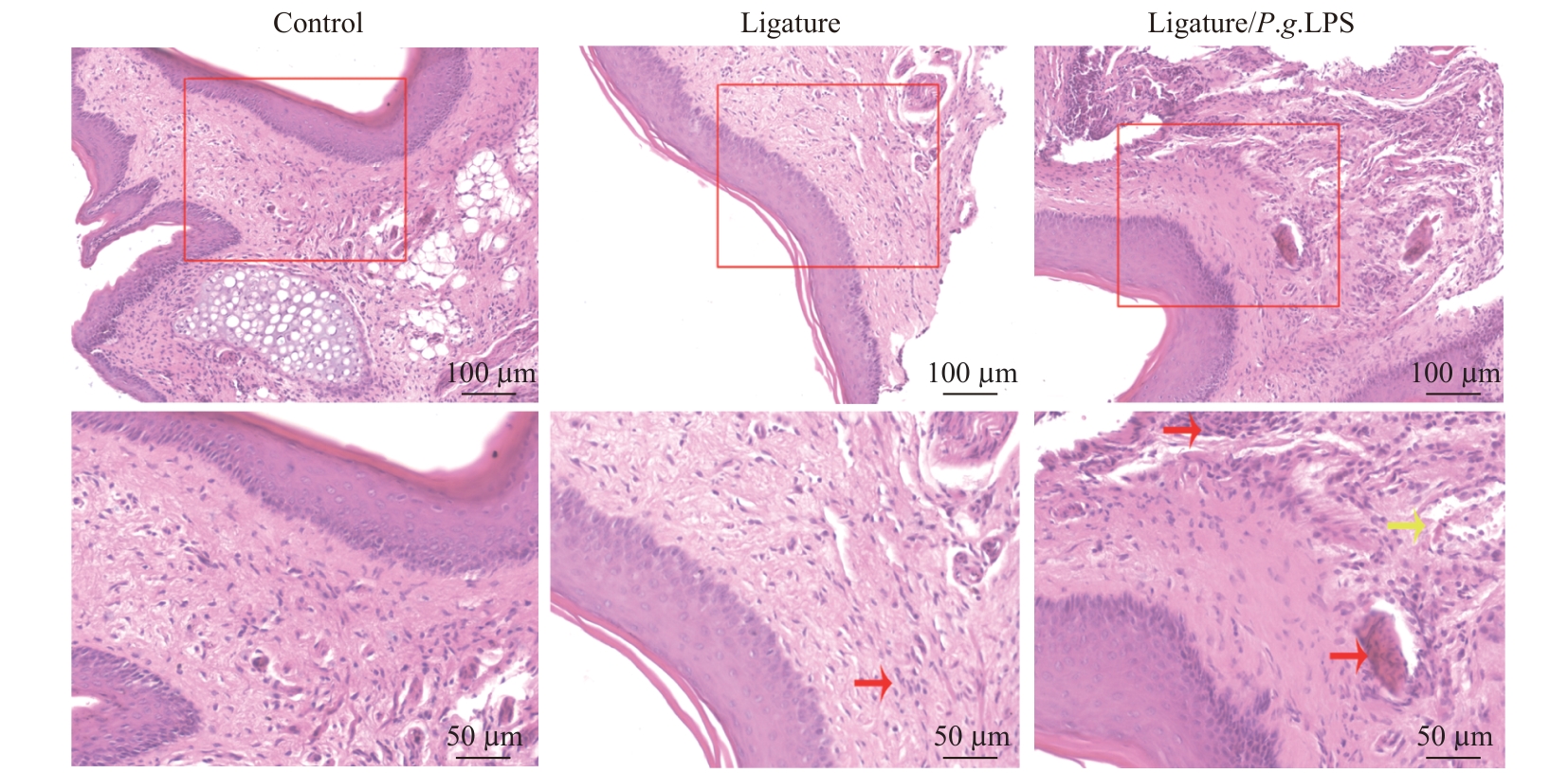
目的·比较单纯丝线结扎和丝线结扎与注射牙龈卟啉单胞菌来源的脂多糖(Porphyromonasgingivalis lipopolysaccharide,P.g. LPS)联合这2种牙周炎造模方法,探究更为理想的重度牙周炎小鼠模型。方法·将15只C57BL/6小鼠分为健康对照组、单纯丝线结扎牙周炎造模组和丝线结扎并注射P.g. LPS联合牙周炎造模组。14 d后,对小鼠进行以下检查:体视显微镜下检测牙齿松动度、探诊深度;通过显微计算机断层扫描(micro computed tomography,Micro-CT)和体视显微镜分析小鼠牙槽骨吸收程度[牙槽骨骨体积分数、骨密度、釉质牙骨质界(cemento-enamel junction,CEJ)到牙槽嵴顶(alveolar bone crest,ABC)的距离和CEJ与ABC之间的面积],采用酶联免疫吸附试验评估小鼠血清炎症因子白细胞介素-1β(interleukin-1β,IL-1β)、肿瘤坏死因子-α(tumor necrosis factor-α,TNF-α)水平。结果·与单纯丝线结扎的小鼠相比,丝线结扎并连续注射P.g. LPS的小鼠上颌左侧第二磨牙的牙齿松动度动态变化[(2.20±0.45)vs(1.40±0.55)]、平均探诊深度[(1.05±0.21)mm vs (0.58±0.39)mm]显著增加,差异具有统计学意义(P<0.05)。与单纯丝线结扎的小鼠相比,丝线结扎并连续注射P.g. LPS的小鼠上颌左侧第二磨牙的骨体积分数[(16.44%±3.35%)vs(28.97%±7.90%)]、骨密度[(0.42±0.04)g/cm3vs(0.55±0.08)g/cm3]显著降低,CEJ到ABC的距离[(0.88±0.03)mm vs(0.74±0.12)mm]和CEJ与ABC之间的面积[(0.34±0.01)mm2vs(0.30±0.02)mm2]显著增加,差异具有统计学意义(均P<0.05)。与单纯丝线结扎的小鼠相比,丝线结扎并连续注射P.g. LPS的小鼠血清中TNF-α、IL-1β的含量明显升高,差异具有统计学意义(均P<0.05)。结论·丝线结扎并连续注射P.g. LPS的小鼠牙周炎模型构建方法可能更适合用于研究重度牙周炎疾病的发生发展与治疗。

关键词: 动物模型, 牙周炎, 小鼠, 脂多糖

Abstract:

Objective ·To investigate an optimal severe periodontitis mouse model by comparing two induction methods: simple ligature and ligature combined with injection of Porphyromonasgingivalis lipopolysaccharide (P.g. LPS). Methods ·Fifteen C57BL/6 mice were divided into three groups: a healthy control group, a simple ligature-induced periodontitis group, and a ligature combined with P.g. LPS injection-induced periodontitis group. After 14 d, the following evaluations were conducted: tooth mobility and probing depth under a stereomicroscope; alveolar bone resorption [bone volume fraction, bone mineral density, the distance from the cemento-enamel junction (CEJ) to the alveolar bone crest (ABC), and the area between CEJ and ABC] analyzed via micro computed tomography (Micro-CT) and stereomicroscopic examination. The serum levels of inflammatory cytokines interleukin-1β (IL-1β) and tumor necrosis factor-α (TNF-α) were assessed by enzyme-linked immunosorbent assay (ELISA). Results ·Compared with the simple ligature group, mice in the ligature with P.g. LPS injection group exhibited significantly increased tooth mobility [(2.20±0.45) vs (1.40±0.55)] and probing depth [(1.05±0.21) mm vs (0.58±0.39) mm], with statistically significant differences (P<0.05). The ligature with P.g. LPS injection group also demonstrated significantly reduced bone volume fraction [(16.44%±3.35%) vs (28.97%±7.90%)] and bone mineral density [(0.42±0.04) g/cm3vs (0.55±0.08) g/cm3], as well as increased distance from CEJ to ABC [(0.88±0.03) mm vs (0.74±0.12) mm] and area between CEJ and ABC [(0.34±0.01) mm2vs (0.30±0.02) mm2], all with statistically significant differences (all P<0.05). Additionally, serum levels of TNF-α and IL-1β were significantly elevated in the ligature with P.g. LPS injection group compared to the simple ligature group (both P<0.05). Conclusion ·The method of ligature combined with continuous P.g. LPS injection is more effective for constructing a severe periodontitis mouse model, making it suitable for studying the progression and treatment of severe periodontitis.

Key words: animal model, periodontitis, mouse, lipopolysaccharide (LPS)

中图分类号: