复发难治性多发性骨髓瘤伴多病灶髓外浸润合并肺腺癌1例报道
A case report of relapsed and refractory multiple myeloma with multifocal extramedullary infiltration and pulmonary adenocarcinoma
通讯作者: 陈海飞,主任医师,博士;电子信箱:Chhf1224@163.com。
编委: 吴洋
收稿日期: 2024-05-15 接受日期: 2024-09-27 网络出版日期: 2025-01-28
Corresponding authors: CHEN Haifei, E-mail:Chhf1224@163.com.
Received: 2024-05-15 Accepted: 2024-09-27 Online: 2025-01-28
作者简介 About authors
杜芳(1991—),女,主治医师,硕士;电子信箱:
周凌云(1987—),女,主治医师,硕士;电子信箱:
当前多发性骨髓瘤仍然不可治愈,多数患者经历多线复发,最终难治。髓外浸润是复发的一种常见形式,同时期的多病灶髓外浸润与继发的第二肿瘤难以鉴别。该文报告了1例复发难治性多发性骨髓瘤多处髓外浸润的患者,经多学科会诊,明确其为骨髓瘤髓外浸润与肺腺癌共存的病例。多病灶髓外浸润与肺腺癌的共存在临床上较为罕见,给患者的诊治决策带来了重大挑战。该文通过病例报道和文献复习,探讨骨髓瘤多病灶髓外浸润与共存的继发肿瘤的诊治,强调多学科会诊在实现精确诊断和优化患者预后方面的关键作用。
关键词:
Multiple myeloma (MM) remains an incurable disease, with most patients experiencing multiple relapses before ultimately progressing to refractory stage. Extramedullary infiltration is a common manifestation of relapse. However, distinguishing synchronous multifocal extramedullary infiltration from secondary malignancies poses significant diagnostic challenges. This study presents a case of relapsed refractory MM with multifocal extramedullary infiltration, diagnosed as coexistence of multiple myeloma extramedullary infiltration and pulmonary adenocarcinoma through multidisciplinary team (MDT) collaboration. Such coexistence is exceedingly rare in clinical practice and introduces substantial complexity in diagnosis and treatment planning. Through a comprehensive case report and literature review, this paper explores the diagnostic and therapeutic approaches to managing multifocal extramedullary infiltration coexisting with secondary malignancies in MM, highlighting the pivotal role of MDT in achieving precise diagnosis and optimizing patient outcomes.
Keywords:
本文引用格式
杜芳, 周凌云, 陈姣, 刘丹波, 向泓先, 陈海飞.
DU Fang, ZHOU Lingyun, CHEN Jiao, LIU Danbo, XIANG Hongxian, CHEN Haifei.
多发性骨髓瘤(multiple myeloma,MM)目前仍不可治愈,多数患者经历复发。髓外浸润多发性骨髓瘤(extramedullary multiple myeloma,EMM)是多线复发难治的一种常见形式。复发难治性多发性骨髓瘤(relapsed and refractory multiple myeloma,RRMM)患者,同时期出现多部位、多病灶肿块,不清楚是髓外浸润,还是合并其他继发肿瘤,为临床诊治带来挑战。肺腺癌属于非小细胞肺癌(non-small cell lung cancer,NSCLC),占所有肺癌的80%~85%[1-2]。本文报道1例RRMM伴多病灶EMM合并肺腺癌的病例,并对相关文献进行系统复习,以期提高临床上对于同时期多灶性EMM与继发第二肿瘤的诊治认识,为制定早期诊断和治疗策略提供参考。
1 临床资料
1.1 病例及治疗方案
患者男性,65岁,因“确诊多发性骨髓瘤5年余”入院。2017年诊断为MM,IgG-κ型,Durie-Salmon分期ⅡA期,修订后的国际分期系统(R-ISS)Ⅱ期,梅奥骨髓瘤分层和适应风险治疗(mSMART)中危组。因影像检查发现多灶性的占位,经过多学科会诊(multidisciplinary team,MDT),于2023年6月1日行胸腔镜左肺下叶切除术和胸壁肿物切除术,病理诊断为浸润性肺腺癌、转移性浆细胞骨髓瘤(胸壁)。患者手术前后予以多方案化学治疗(简称化疗),详见表1。
表1 患者治疗方案
Tab 1
| Chemotherapy protocol | Therapeutic efficacy |
|---|---|
| Bortezomib+cyclophosphamide+dexamethasone (BCD, 7 courses) | VGPR |
| Bortezomib+dexamethasone+thalidomide (BDT, 3 courses) | CR |
| Bortezomib (maintenance) | — |
| Bortezomib+thalidomide (BT, maintenance) | CR |
| Thalidomide (maintenance) | CR |
| Bortezomib+(R, S)-lenalidomide+dexamethasone (BRD, 3 courses) | PD |
| Bortezomib+cyclophosphamide+dexamethasone+thalidomide (BCDT) | PR |
| Ixazomib+dexamethasone (ID) | PD |
| Ixazomib+pomalidomide+dexamethasone (IPD) | SD |
| Daratumumab+pomalidomide+dexamethasone (DPD, 9 courses) | PR |
Resection of thoracoscopic left lower lobe and chest wall mass (lung adenocarcinoma and multiple myeloma chest wall invasion) | PD |
| Daratumumab+carfilzomib+dexamethasone (DKD, 2 courses) | PD |
| Carfilzomib+cyclophosphamide+dexamethasone (KCD, 5 courses) | PR |
| Carfilzomib+bendamustine+dexamethasone (KBD, 2 courses) | PD |
| Daratumumab+carfilzomib+pomalidomide+dexamethasone (DKPD) | PR |
1.2 辅助检查
1.2.1 骨髓细胞学观察
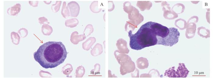
患者2023年6月的骨髓涂片细胞学检查结果显示,浆细胞系大小不一,胞体和胞核呈圆形或不规则形,可见双核、核偏移,核周淡染带明显(图1)。
图1
图1
骨髓形态的细胞学观察(×1 000)
Note: A. Plasma cells of varying sizes with round nuclei (arrow). B. Plasma cells showing double nuclei, nuclear displacement, and a clear perinuclear halo (arrow).
Fig 1
Cytological observation of bone marrow morphology (×1 000)
1.2.2 影像学检查
图2
图2
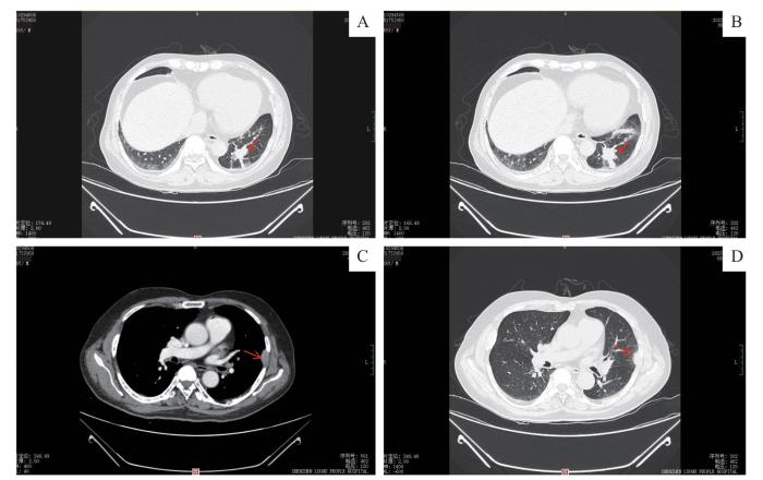
胸部增强CT显像
Note: A/B. Two different layers of contrast-enhanced chest CT scans. Multiple elongated strip shadows are visible around the same site, and mild sustained enhancement is visible on contrast-enhanced scans (arrow). C. Contrast-enhanced chest CT showing a chest wall mass (arrow) at the mediastinal window level. D. Contrast-enhanced chest CT showing a chest wall mass (arrow) at the lung window level.
Fig 2
Contrast-enhanced chest CT scans
1.2.3 病理检查结果
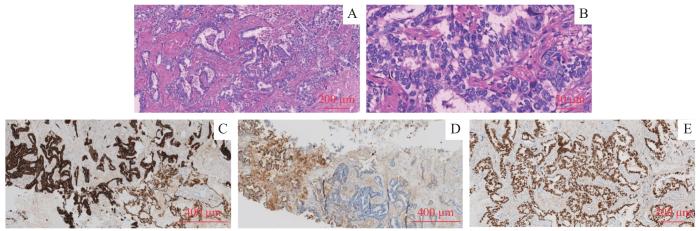
患者2023年5月的肺结节病理检查结果提示为浸润性腺癌(图3),未见明确脉管内癌栓及神经侵犯。免疫组织化学检测结果显示:SATB2局灶阳性,Moc31(+),CK7(+),P40蛋白(-),TTF-1(+),Napsin A局灶阳性,CDX-2(-)。TTF-1、CK7、Napsin A均有阳性表达,提示为浸润性腺癌。
图3
图3
肺结节病理诊断
Note: A/B. H-E staining. C. Immunohistochemistry of CK7. D. Immunohistochemistry of Napsin A. E. Immunohistochemistry of TTF-1.
Fig 3
Pathological diagnosis of pulmonary nodules
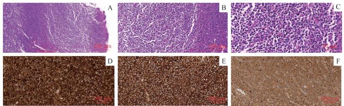
患者2023年6月胸壁肿瘤病理结果表明,其符合转移性浆细胞骨髓瘤的诊断(图4)。免疫组织化学检测结果显示:TTF-1(+),Napsin A部分阳性,P40(-),P63(-),突触素Syn(-),嗜铬素CgA(-),CD56部分阳性,抗PD-L1抗体(PD-L1SP263)检测显示无肿瘤细胞和免疫细胞,Ki67为40%阳性,CD38(+),CD138(+),MUM1(+),CD20(-),CD3(-),κ(+),λ(-),IgG(+),CD79a(+);提示该病例符合转移性浆细胞骨髓瘤的诊断。
图4
图4
胸壁肿瘤病理检查结果
Note: A‒C. H-E staining. D. Immunohistochemistry of CD38. E. Immunohistochemistry of CD138. F. Immunohistochemistry of κ.
Fig 4
Pathological examination results of chest wall tumor
1.3 诊治过程
患者2017年诊断为MM,当时未合并髓外侵犯,经多次化疗病情缓解。2023年4月发现髓外病灶(肺及胸壁),伴咳嗽、咳痰等,考虑感染可能性大;予经验性抗真菌感染治疗后,患者肺部病灶稍有缩小,但效果不显著。2023年5月,PET-CT发现多灶性占位,左肺下叶后基底段结节状高代谢病灶,考虑左肺下叶周围型肺癌并阻塞性肺不张,左侧胸膜后(左侧第8后肋层面)结节状轻度高代谢病灶,考虑转移灶。不排除周围型肺癌或骨髓瘤侵犯,双侧胸膜上多发小片状及丘状增厚,代谢轻度增高,考虑双侧胸膜多发转移灶。此外,胸部CT增强不排除肺恶性肿瘤或骨髓瘤肺部侵犯,胸壁肿物不排除骨髓瘤转移可能(图2)。
患者同时出现肺部、胸壁多处性质不明的占位。为明确是骨髓瘤髓外侵犯,还是继发第二肿瘤,组织MDT(包括血液科、胸外科、呼吸科、影像科及肿瘤科)。根据PET-CT检查结果及胸部CT增强扫描结果,会诊结果:左下肺占位,考虑继发肺癌可能性大,不排除MM侵犯;多处胸壁病灶,考虑MM髓外侵犯可能性大。患者于2023年5月25日在CT引导下行肺占位穿刺术,病理结合免疫组织化学结果显示,肺结节穿刺组织符合浸润性腺癌特征,未见明确脉管内癌栓及神经侵犯。该穿刺结果也提示为肺腺癌早期阶段。患者于2023年6月1日行胸腔镜左肺下叶切除术和胸壁肿物切除手术,左下肺术后病理诊断为浸润性肺腺癌(图3),未见明确脉管内癌栓及神经侵犯。完整肺段切除后,随访肺癌病灶,无复发。在行肺叶切除过程中,将左侧胸壁占位进行处理,术后病理诊断为髓外浆细胞瘤(图4)。双侧胸膜未取组织进行病理检查;考虑患者手术耐受能力较差,缩小了手术范围。患者术后出现一过性肺部感染、胸腔积液,经抗感染治疗后好转。患者未行相关靶向基因检测,拒绝针对肺癌进一步治疗。患者术后多次复查肺癌肿瘤标志物,无明显升高;多次胸部CT检测,评估为CR。
2023年6月21患者入院,MM评估为PD,予DKD方案化疗。2023年8月21日评估为PD,之后予5个疗程KCD方案化疗,期间患者达到PR。化疗过程出现肺部感染,经抗感染治疗后好转。2023年12月1日患者评估为PD,因经济原因,未行细胞免疫治疗,化疗改为KBD方案;2个疗程后,2024年1月5日再次评估为PD,给予DKPD方案化疗;后因化疗后骨髓抑制、重症肺炎、呼吸衰竭,转重症医学科治疗;2024年2月14日,患者肺部感染稍有控制,家属放弃治疗,患者主动出院。
2 讨论
MM占所有血液系统恶性肿瘤的10%,其发病率已在血液系统肿瘤中高居第二位[1-2]。进入21世纪以来,美国食品与药品监督管理局批准用于MM治疗的药物有20余种。经过治疗,患者生存期显著延长,但大多数患者最终经历疾病复发或成为难治性患者。采用T细胞重定向的双特异性抗体药物teclistamab治疗RRMM患者的总体缓解率达到63%[3]。Teclistamab一方面可以与T细胞上的CD3分子靶点结合,另一方面可以与MM细胞上表达的成熟B细胞抗原(BCMA分子)结合,增强T细胞对肿瘤细胞的杀伤作用。用于MM治疗的常用药物包括硼替佐米、达雷妥尤单抗、卡非佐米、来那度胺、地塞米松等,但患者多经历难治和复发[4]。
本例MM患者在治疗后5年,伴有髓外浸润合并肺腺癌,经过多线治疗后进入复发难治期,显示出对常规治疗方案的耐药性,后续诊断出的NSCLC增加了治疗的复杂度。患者的肺腺癌处于早期阶段,因此重点还是针对MM的治疗。影像检查发现多灶性占位,只是胸壁和肺占位,即肺结节及胸壁肿物。为了确定肺结节及胸壁肿物是否为EMM、肺癌或其他肿瘤并胸壁转移,经过MDT后,进行手术,最终确认肺部为浸润性肺腺癌,胸壁为转移性浆细胞骨髓瘤。在本案例中,先后采用了DKD、KCD、KBD和DKPD方案治疗。其中卡非佐米是一种二代蛋白酶体抑制剂,用于治疗已接受过1种以上治疗的复发或难治性MM[5]。地塞米松作为辅助药物,可以改善治疗效果,同时预防多线治疗相关的不良反应[5]。达雷妥尤单抗是针对CD38的单克隆抗体,通过与CD38结合,可以直接杀死肿瘤细胞,同时激活免疫系统对这些细胞的清除[6]。考虑到患者的MM已经表现出对多种治疗方案的耐药性,治疗方案的选择具有合理性。这一组合利用了不同机制的药物,旨在通过多途径抑制肿瘤细胞的生长和存活。
MM通常单独发生,也可与其他肿瘤同时发生或继发于其他肿瘤。目前,MM合并肺癌的报道较少,但国内外已报道过有效的治疗策略[7-12]。KAISER等[8]报道了1例68岁的MM男性患者,且诊断为NSCLC。该患者早期使用KDD方案治疗,骨髓瘤得到了有效的控制,后期采用pembrolizumab结合venetoclax治疗,症状得到缓解。WANG等[9]报道了1例IgD-MM患者,伴有肺癌和严重的血小板减少症,在以ixazomib为基础的化疗失败后,达雷妥尤单抗的挽救性治疗意外地诱导了CR和血小板恢复,患者成功地进行了肺癌手术。DONG等[10]报道了1例MM合并肺癌的病例,在第5个周期的BDT方案治疗后,患者接受了自体干细胞移植,病情稳定;CD38可能通过改变骨髓微粒细胞在MM和肺癌中发挥作用。ZUO等[11]报道了1例罕见的MM和肺腺癌并发病例,患者接受硼替佐米治疗,病情稳定。LIN等[12]报道了1例在治疗18个月后并发肺癌和副肿瘤性皮肤病的MM病例,用CD3单克隆抗体、白细胞介素-2(IL-2)、干扰素-γ(IFN-γ)和IL-1预处理后,接受了来自外周血单核细胞的多种细胞因子诱导的杀伤细胞(CIK细胞)免疫治疗,MM和肺癌保持稳定,无进展或复发,副肿瘤性皮肤病在治疗后有明显改善。研究[13-14]表明:超过5万例MM患者的中位总生存期(overall survival,OS)为107个月;其中MM合并肺癌的患者占0.9%,肺癌会对MM患者的OS产生不利影响(HR=2.27,P<0.001);MM合并肺癌患者的中位OS为25~103个月,肺损伤会影响生存时间。
探究本例患者发病原因,结合文献总结,可能与患者自身年龄、用药史、MM治疗相关因素等有关。美国国立癌症研究所SEER数据显示,MM患者继发性原发性恶性肿瘤(second primary malignancies,SPM)的发生率为1%~15%,且随着患者疾病进程的延长,其发病率逐渐升高[15-17]。ENGELHARDT等[15]分析了744例MM病例,发现MM合并SPM的患者中,最常见的第二肿瘤是以骨髓增生异常综合征和急性髓系白血病为代表的血液肿瘤,常见的非血液系统肿瘤是结直肠癌、肺癌等。MACLACHLAN等[16]总结了MM患者出现SPM的因素,认为包括以下4个方面。① 自身因素:年龄增长是很多恶性肿瘤的危险因素之一,也使MM患者的SPM的风险增加。② 家族史:有癌症家族史的MM患者更容易患SPM,如肺癌[7-10]。③ 用药史:使用烷化剂以及免疫调节剂(如来那度胺等),导致SPM的发病率升高。本例患者长期予来那度胺化疗,可能也增加了患者肺癌的发生风险。④ MM相关因素:在MM患者疾病的进展及预后判断中,遗传学改变起重要作用。MM继发SPM的患者CD34表达水平下降;继发MDS或存在MDS相关细胞遗传学异常的患者,经干细胞采集,证实CD34+细胞数偏少[18]。
本例RRMM患者合并肺腺癌,处于早期,予手术治疗。患者拒绝完善靶向基因检测,未予化疗,术后多次评估为CR。患者左下肺占位的目标病灶区域内标准化摄取值的最大值(SUVmax)明显增高,该病灶的远端未见异常浓聚影,且明显高于其他胸膜、胸壁占位的SUVmax。由于患者持续接受抗骨髓瘤治疗,推测左下肺对抗骨髓瘤治疗无反应,导致其SUV值明显增高,且无肿瘤标志物明显增高,提示跟骨髓瘤不是同一类疾病,因此评估为早期肺癌。而双侧胸膜条片状密度增高,无法用早期肺癌解释,考虑为骨髓瘤累及可能性大,但不排除炎症性质。对患者进行左下肺占位穿刺手术和胸外科手术肺叶切除治疗;在行肺叶切除过程中,对左侧胸壁肿物进行处理,病理证实为浆细胞瘤。肺占位的最终病理结果证实其为早期肺癌,且局限于左下肺。
NSCLC是最常见的肺癌类型。随着对肿瘤遗传特征的深入理解,靶向治疗成为NSCLC治疗的重要组成部分[19]。针对NSCLC,如果通过分子标志物检测发现有适合靶向治疗的特定遗传突变(如EGFR突变、ALK重排等),应优先考虑使用相应的靶向治疗药物。例如,EGFR抑制剂(如吉非替尼)和ALK抑制剂(如克唑替尼)已被证明能有效延长患者的无进展生存期[19]。如果没有检测到特定的驱动突变,免疫治疗,如PD-1/PD-L1抑制剂[20],可能是一种选择,特别是在考虑到其在某些情况下也可能对MM有一定的治疗效果。这些药物通过激活患者的免疫系统来攻击癌细胞,对于一些晚期NSCLC患者,能够显著提高其生存率。目前,关于RRMM伴髓外浸润合并肺腺癌的临床表现、病理机制和治疗方案,尚不明确,国内外也没有针对RRMM髓外浸润合并肺腺癌的治疗指南。
本例RRMM患者伴有髓外浸润合并肺腺癌,考虑到患者年龄、已经接受过的治疗方案和当前的疾病状态,治疗目标应侧重于控制病情进展。在治疗顺序上,首要任务是评估2种疾病中哪一种对患者的健康和生活质量构成更大威胁。如果肺腺癌处于早期阶段且未显示出快速进展的迹象,可以优先考虑针对RRMM的治疗,反之亦然。然而,考虑到2种疾病的严重性,并行处理2种疾病的综合治疗方案可能更为合理。患者的肺腺癌处于早期阶段,且经过MDT会诊,患者能耐受胸腔镜手术,即可以切除早期的肺癌病灶。如果有符合入组条件的临床试验,可考虑加入[21]。
本文报道了1例RRMM伴髓外浸润合并肺腺癌的病例,并复习了相关文献。同时存在2种恶性肿瘤的病例较罕见,疾病管理复杂,需要考虑2种肿瘤的治疗反应、药物选择和治疗顺序,需要权衡治疗效果和不良反应,寻找最佳的个体化治疗方案。面对罕见且复杂的病例时,MDT合作是十分重要的,有利于为患者制定最合适的治疗方案。
作者贡献声明
杜芳负责研究设计、病历资料收集、论文撰写及校对;周凌云参与论文撰写及校对;陈姣和刘丹波参与影像资料收集和论文校对;向泓先参与文献检索、“讨论”部分的修改及论文校对;陈海飞负责研究整体设计、资料整理和分析、论文最终审校。所有作者均阅读并同意了最终稿件的提交。
AUTHOR's CONTRIBUTIONS
DU Fang was responsible for research design, medical records collection, paper writing and proofreading. ZHOU Lingyun participated in writing and proofreading the manuscript. CHEN Jiao and LIU Danbo collected images and proofread the manuscript. XIANG Hongxian was responsible for reviewing literature, revising the discussion section, and proofreading the manuscript. CHEN Haifei was responsible for the overall research and design, the organization and analysis of the manuscript, and the review of paper. All the authors have read the final version of paper and consented for submission.
利益冲突声明
所有作者声明不存在利益冲突。
COMPETING INTERESTS
All authors disclare no relevant conflict of interests.
参考文献
/
| 〈 |
|
〉 |

