
上海交通大学学报(医学版) ›› 2025, Vol. 45 ›› Issue (8): 981-989.doi: 10.3969/j.issn.1674-8115.2025.08.005
王琳1, 徐萍1,2, 张乔婷2, 田军1, 娄晓丽2, 王静1(
)
WANG Lin1, XU Ping1,2, ZHANG Qiaoting2, TIAN Jun1, LOU Xiaoli2, WANG Jing1(
)
摘要:
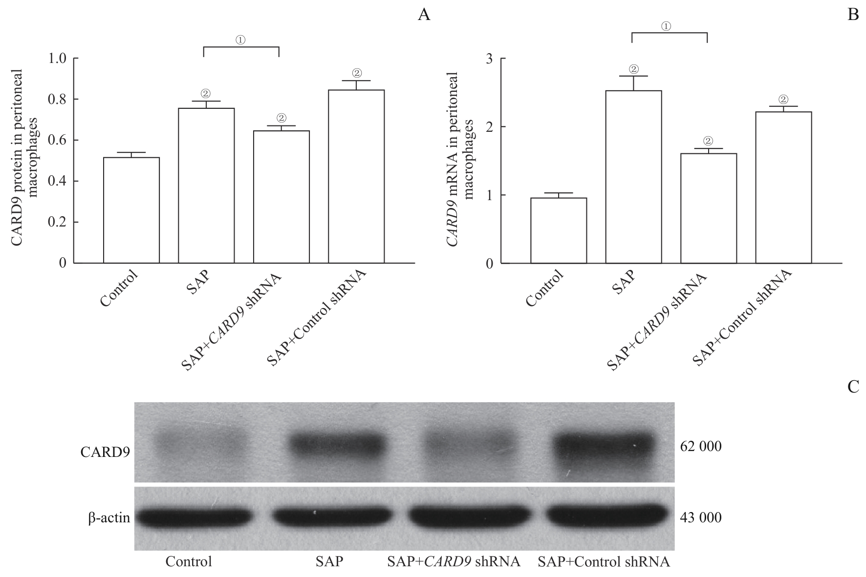
目的·探讨胱天蛋白酶募集域蛋白9(caspase recruitment domain-containing protein 9,CARD9)是否参与调控重症急性胰腺炎(severe acute pancreatitis,SAP)巨噬细胞极化。方法·将SD大鼠随机分为4组,分别为对照组、SAP组、SAP+CARD9 shRNA组和SAP+Control shRNA组,每组6只。在SAP大鼠造模前48 h,经尾静脉注射CARD9 shRNA干扰腺病毒。造模后12 h收集标本,采用H-E染色评估胰腺组织病理变化,运用real-time PCR法检测大鼠腹腔巨噬细胞CARD9及肿瘤坏死因子α(tumor necrosis factor-α,TNF-α)、白细胞介素-6(interleukin-6,IL-6)、IL-10、精氨酸酶-1(arginase 1,Arg-1)的基因表达水平,通过Western blotting法检测腹腔巨噬细胞CARD9蛋白表达水平,利用流式细胞技术检测大鼠腹腔巨噬细胞极化类型。结果·SAP组、SAP+CARD9 shRNA组、SAP+Control shRNA组中CARD9基因及CARD9蛋白表达水平均明显高于对照组,显示CARD9干扰成功(P<0.001)。SAP+CARD9 shRNA组与SAP组相比:血清淀粉酶水平、胰腺组织病理评分明显降低;腹腔巨噬细胞促炎细胞因子TNF-α、IL-6水平明显降低,抗炎细胞因子IL-10、Arg-1水平升高;M1型巨噬细胞明显减少、M1/M2比值降低。腹腔巨噬细胞CARD9 mRNA水平与TNF-α mRNA、IL-6 mRNA水平及M1型巨噬细胞数量呈正相关。结论·CARD9促进SAP大鼠巨噬细胞M1型极化;下调CARD9表达可通过抑制巨噬细胞M1极化,减轻SAP大鼠炎症反应。
中图分类号: