牙周致病菌编码的Tannerpin-M对粒细胞释放的丝氨酸蛋白酶的抑制作用
1.
2.
3.
Inhibition of Tannerpin-M encoded by periodontal pathogens on serine proteases released by granulocytes
1.
2.
3.
Corresponding authors: ZHOU Aiwu,E-mail:awz20@shsmu.edu.cn.
Received: 2024-06-19 Accepted: 2024-08-06 Online: 2024-09-05
目的·制备牙周致病相关坦纳菌编码的丝氨酸蛋白酶抑制剂(serine protease inhibitor,Serpin),分析其抑制靶蛋白酶的特异性及其结构特征。方法·通过氨基酸序列分析,选择人类口腔微生物组数据库(eHOMD)中的Serpin,将其转入大肠埃希菌中进行重组表达;采用镍离子亲和层析等方法制备重组蛋白,分析其抑制丝氨酸蛋白酶的特异性,并通过结构生物学手段解析其三维空间结构。结果·在坦纳菌中发现一个新的且活性中心P1残基为甲硫氨酸的Serpin,将其命名为Tannerpin-M,并成功地从大肠埃希菌BL21(DE3)中制备了高纯度的重组蛋白。进一步的活性检测结果表明重组Tannerpin-M可以有效地与粒细胞来源的蛋白酶(人中性粒细胞弹性蛋白酶、组织蛋白酶G和蛋白酶3)、胰弹性蛋白酶以及激肽释放酶1(KLK1)、KLK7等6种蛋白酶形成SDS稳定的共价复合物,其中Tannerpin-M抑制KLK7的二级反应速率常数为4.25×104 L/(mol·s)。解析分辨率为2.4 Å(1 Å=0.1 nm)的Tannerpin-M松弛态构象的晶体结构,结果显示Tannerpin-M具有显著延长的反应中心环,可以发生经典的抑制型Serpin从紧张态向松弛态转变的构象变化。结论·口腔致病菌编码的Tannerpin-M是一个典型的抑制型Serpin,其可以有效抑制粒细胞释放的丝氨酸蛋白酶,提示该口腔致病菌可能以此机制来抵抗人体免疫系统的攻击。
关键词:
Objective ·To prepare a serine protease inhibitor (Serpin) derived from Tannerella which is associated with periodontosis, and analyze its specificity in inhibiting target proteases and its structural characteristics. Methods ·Through amino acid sequence analysis, a Serpin from the human oral microbiome database (eHOMD) was selected and expressed in Escherichia coli. The recombinant protein was purified using methods such as nickel ion affinity chromatography. Its specificity in inhibiting serine proteases was analyzed, followed by an analysis of its three-dimensional spatial structure using structural biology methods. Results ·A novel Serpin, named Tannerpin-M, with methionine as the active center P1 residue, was identified, and a high-purity recombinant protein was successfully prepared from Escherichia coli BL21 (DE3). Further activity testing demonstrated that recombinant Tannerpin-M could effectively form SDS-stable covalent complexes with proteases derived from granulocytes (human neutrophil elastase, cathepsin G, and proteinase 3), as well as with other proteases including kallikrein 1 (KLK1), KLK7, and elastase. Tannerpin-M inhibited KLK7 with a second-order association rate constant of 4.12×104 L/(mol·s). The crystal structure of Tannerpin-M in its relaxed state conformation was resolved at a resolution of 2.4 Å (1 Å=0.1 nm). It revealed that Tannerpin-M possessed a significantly elongated reactive center loop and could undergo the classical conformational transition from a stressed to a relaxed state. Conclusion ·Tannerpin-M, derived from oral pathogenic bacteria, is a typical inhibitory Serpin, and can effectively inhibit the serine protease released by granulocytes, by which it may protect the oral pathogenic bacteria from attacks of the human immune system.
Keywords:
本文引用格式
潘子豪, 许佳伟, 周爱武.
PAN Zihao, XU Jiawei, ZHOU Aiwu.
由于Serpin家族蛋白广泛存在于动植物以及某些微生物中,均由350~400个氨基酸组成,序列同源性往往大于25%[4-6]。典型的Serpin通常包括3个主要的β折叠(A、B、C)、8~9个α螺旋(hA~hI)和1个暴露在分子表面的中心环(reactive center loop,RCL)[7]。蛋白酶可以识别并切割RCL中特异的氨基酸(P1-P1' 残基)间的肽键,诱使Serpin发生一种独特的从紧张态到松弛态(stressed-to-relaxed,S-to-R)转换的构象变化,并且与蛋白酶形成一种对SDS稳定的共价相连的复合物,从而使蛋白酶失活[8-9]。大量研究表明,Serpin家族成员在生物体中可以通过抑制蛋白酶活性调控重要的生理过程,如血液凝固[10]、免疫反应[11]、细胞死亡等[12-13]。因此,我们推测这些牙周病原菌也能通过表达和分泌一些Serpin抑制宿主的蛋白酶,保护自身免受宿主免疫系统的杀伤,帮助病原体逃避免疫监控。
为了进一步阐述Tannerella HMT-286编码的Serpin的结构与功能,本研究制备其中一种Serpin (命名为Tannerpin-M),分析其抑制蛋白酶活性的特异性,并且解析其三维空间结构,为进一步研究细菌的致病机制奠定基础。
1 材料与方法
1.1 材料
1.1.1 菌种与蛋白酶
大肠埃希菌BL21(DE3)购自天根生化科技(北京)有限公司。pSUMO3表达载体由本实验室改造并保存。该载体表达的融合蛋白携带小分子泛素样修饰蛋白(small ubiquitin-like modifier 3,SUMO3),在提高融合蛋白表达水平的同时,可被小泛素修饰特异性蛋白酶2(sentrin-specific protease 2,SENP2)完整切割。SENP2由本实验前期制备。本实验室常用的丝氨酸蛋白酶,包括人凝血因子Ⅱa(coagulation factor Ⅱa,FⅡa;又称凝血酶)、FⅨa、FⅪa、活化蛋白C(activated protein C,APC)、组织型纤溶酶原激活剂(tissue-plasminogen activator,t-PA)、人中性粒细胞弹性蛋白酶(human neutrophil elastase,HNE)、胰弹性蛋白酶(elastase)、胰蛋白酶(trypsin)、激肽释放酶1(kallikrein 1,KLK1)、KLK7、蛋白酶3(proteinase 3,PR3)、组织蛋白酶B(cathepsin B,CatB)、组织蛋白酶G(cathepsin G,CatG)购自美国Haematologic Technologies公司。
1.1.2 试剂与仪器
氨苄青霉素购自上海生工生物工程股份有限公司;异丙基-β-D-硫代半乳糖苷(isopropyl-β-D-thiogalactoside,IPTG)购自上海麦约尔生物技术有限公司;十二烷基硫酸钠-聚丙烯酰胺预制凝胶购自美国Invitrogen公司;酵母粉和蛋白胨购自英国Oxoid公司。实验室自制:缓冲液A[20 mmol/L Tris-HCl缓冲液(pH值7.5),含500 mmol/L NaCl和20 mmol/L咪唑]、缓冲液B[20 mmol/L Tris-HCl缓冲液(pH值7.5),含500 mmol/L NaCl和300 mmol/L咪唑]、蛋白质层析系统ÄKTA Prime Plus system、HisTrap HP预装柱和分子筛层析柱(GE Healthcare,美国),NanoDrop8000分光光度计(Thermo Scientific,美国),低温超速离心机(Eppendorf,德国),高压细胞破碎机[永联生物科技(上海)有限公司]。晶体筛选试剂盒Crystal ScreenTM Macromolecular Crystallization Kit购自美国Hampton Research公司;Gel Doc XR凝胶成像仪购自美国Bio-Rad公司;96孔坐滴式结晶板购自美国Hampton Research公司;Screenmaker96+8蛋白结晶配液工作站购自瑞士Tecan公司;LG-P52倒置显微镜购自日本Olympus公司。
1.2 方法
1.2.1 Tannerpin-M融合表达测试
通过分析口腔牙周疾病相关菌坦纳菌HMT-286的基因组序列,并与经典的Serpin超家族成员α1-抗胰蛋白酶(α1-antitrypsin,α1-AT;PDB:1QLP)的氨基酸序列进行对比,筛选出一个由该菌编码的新型Serpin序列(GenBank:ETK05009.1)。根据SCHECHTER等[14]提出的命名法,将直接识别和结合目标蛋白酶的RCL上的氨基酸指定为P1,沿着蛋白质序列从P1向N端延伸的氨基酸依次命名为P2、P3、…、Pn,而向C端延伸的氨基酸则命名为P1'、P2'、…、Pn'。具有抑制活性的Serpin的P17残基都是保守的谷氨酸(Glu),而P15往往为甘氨酸(Gly)[6,15],由此推断该Serpin的P1位点的氨基酸可能为甲硫氨酸。为了便于区分坦纳菌来源的其他Serpin,将新发现的Serpin命名为Tannerpin-M。然后将其编码的氨基酸序列交由苏州金唯智生物科技有限公司进行密码子优化和全基因合成,并克隆至大肠埃希菌pSUMO3融合表达载体中。将构建好的融合表达载体(pSUMO3-Tannerpin-M)转化至BL21(DE3)中,随后涂布至含氨苄青霉素的LB平板上,37 ℃倒置培养过夜。次日,挑选单菌落至含氨苄青霉素的2×YT液体培养基中,37 ℃摇床培养过夜。以1∶100的比例将过夜菌液接种至含氨苄青霉素的2×YT培养基中,37 ℃摇床培养2 h。当菌液在600 nm波长处的吸光度值达0.6时,将摇床温度降至20 ℃,并加入终浓度为0.1 mmol/L的 IPTG诱导表达过夜。4 ℃下,10 000×g离心15 min,收集菌体备用。分别于诱导前及诱导后7 h和24 h留取菌液样品,通过十二烷基硫酸钠-聚丙烯酰胺凝胶电泳(SDS-PAGE)检测融合蛋白的诱导表达情况。
1.2.2 融合蛋白的纯化及目的蛋白的收集
为了制备重组Tannerpin-M蛋白,将诱导表达12 h后菌体重悬于缓冲液A中,并在6×104 kPa压强下破碎细胞,高速离心菌液1 h,收集上清液并上样至HisTrap HP预装柱,然后用20~300 mmol/L咪唑的连续梯度洗脱(缓冲液A和B以不同比例混合)。将收集的280 nm吸收峰的峰尖洗脱液透析去除咪唑,再使用蛋白酶SENP2消化融合蛋白12 h(融合蛋白∶SENP2=100∶1),使His-SUMO3标签游离。将消化液再次挂载于HisTrapTM HP预装柱,收集流穿液中的Tannerpin-M。最后使用HiLoad 16/60 Superdex 75 pg凝胶过滤柱对浓缩后的流穿液进一步纯化,并经SDS-PAGE分析蛋白纯度。
1.2.3 重组Tannerpin-M结晶条件的筛选、晶体衍射和结构解析
采用坐滴式气相扩散法对Tannerpin-M的结晶条件进行初筛,即使用自动化移液站将Hampton Research结晶筛选试剂盒分装至96孔坐滴结晶板里,由自动化结晶机器人在该结晶板上完成对蛋白晶体生长条件的筛选。针对初筛结果,选取其中生长状态较好的晶体,在24孔晶体生长板上进行手动优化,即通过调整沉淀剂种类及浓度、蛋白浓度、结晶温度以及pH值等,获得高质量蛋白晶体。将筛选得到的晶型较好的晶体取出后用液氮速冻备用,于上海同步辐射光源(Shanghai synchrotron radiation facility,SSRF)的生物大分子晶体学光束线/实验站(BL19U)收集晶体X射线衍射数据。数据使用 iMosflm进行积分,并使用CCP4i软件包[16]中的 Aimless进行缩放。以α1-antitrypsin晶体结构(PDB 1QMN)作为Phaser中的分子置换搜索模型[17],用Refmac5[18]对结构进行细化,采用Coot软件[19]建立模型。结构因子和坐标存入蛋白质数据库。结构图使用开源程序PyMOL创建。
1.2.4 重组Tannerpin-M抑制蛋白酶的特异性分析
为了验证重组Tannerpin-M抑制蛋白酶的特异性,将Tannerpin-M(3 μg)分别与0.4 μg的13种不同蛋白酶(HNE、胰弹性蛋白酶、胰蛋白酶、KLK1、KLK7、PR3、FⅡa、FⅨa、FⅪa、APC、t-PA、CatB和CatG)混合,并在37 ℃下孵育30 min,然后通过SDS-PAGE分析混合物的情况。共价连接的Serpin-蛋白酶复合物的迁移速度比Serpin和蛋白酶慢,可直观显示Tannerpin-M对蛋白酶的抑制作用。
为了测量Tannerpin-M和KLK7的反应动力学,将KLK7(10 μL,100 nmol/L)与10 μL不同浓度的Tannerpin-M(0.5、1、1.5、2 μmol/L)分别混合不同的时间,然后将反应混合物稀释到含有0.2 mmol/L相应底物的缓冲液(PBS、0.1% PEG8000、0.1 mg/mL BSA)中测定残留蛋白酶的活性。将残留蛋白活性的负对数与孵育时间线性拟合,其斜率即一级反应速率常数(first order rate constant,kobs)。通过kobs与初始抑制剂浓度的线性拟合计算出表观二级反应速率常数(apparent second-order rate constant,kapp)。二级反应速率常数(second-order association rate constant,k2)=kapp×SI[21,23]。
2 结果
2.1 新型Serpin Tannerpin-M的筛选及融合表达
经基因组序列分析及氨基酸序列比对,从口腔牙周疾病相关菌Tannerella HMT-286发现一个新的Serpin序列(GenBank:ETK05009.1)。氨基酸序列比对(图1)显示,其RCL氨基酸序列与α1-AT的RCL非常相似,具有同样的活性中心P1-P1'氨基酸(甲硫氨酸-丝氨酸),但与我们前期在牙周疾病相关菌Tannerella HMT-808中鉴定出来的Tannerpin(活性中心为丙氨酸)和Tannerellaforsythia中鉴定出来的Miropin[3]明显不同。因此,将该Serpin其命名为Tannerpin-M。序列比较结果显示Tannerpin和Tannerpin-M的RCL比α1-AT多3~6个氨基酸,因此推测它们的反应环可能具有更高的灵活性。
图1
图1
Tannerpin-M与其他相关Serpin的RCL序列对比
Note: α1-AT—α1-antitrypsin (Uniprot ID: A0A024R6I7); Tannerpin-M (GenBank: ETK05009.1); Tannerpin (GenBank: PNE27936.1); Miropin (GenBank: TPE18305.1); s1C—strand 1 of β-sheet C.
Fig 1
Comparison of RCL sequences of Tannerpin-M with other related Serpins
2.2 融合蛋白的诱导表达、纯化及目的蛋白的获取
图2
图2
重组Tannerpin-M的制备
Note: A. Protein expression of Tannerpin-M fusion protein in whole bacterial cell lysate and lysis supernatant. M—marker (Lane 1,8 and 12); Lane 2‒4—whole cell lysate of Tannerpin-M expression upon IPTG induction at 0, 6 and 24 h; Lane 5‒7—supernatant of Tannerpin-M expression cells upon IPTG induction at 0, 6 and 24 h respectively. B. Enzyme digestion of the fusion protein and purification by reverse nickel ion affinity column (Ni-column). Lane 9—HisTrap-purified SUMO3-Tannerpin-M fusion protein; Lane 10—fusion protein digested with SENP2; Lane 11—flow through of fusion protein digestion from a HisTrap column. C. Gel filtration purification of Tannerpin-M. Lane13‒16—fractions of Tannerpin-M from a gel filtration column.
Fig 2
Preparation of recombinant Tannerpin-M
从细菌裂解液上清中纯化重组Tannerpin-M。首先将裂解液通过HisTrap HP预装柱,纯化得到SUMO3-Tannerpin-M融合蛋白(图2B,Lane 9)。经SENP2酶切后的融合蛋白再次经过HisTrap HP预装柱,收集富含重组Tannerpin-M的流穿液(Lane 11),并用SDS-PAGE进行检测。结果(图2B)显示,融合蛋白被酶切出2条蛋白条带,相对分子质量分别在43 000和15 000附近。SUMO的相对分子质量约为15 000,而流穿HisTrap HP预装柱的蛋白条带在43 000附近,与Tannerpin-M的理论相对分子质量相符,说明该蛋白即为已去除SUMO标签的Tannerpin-M。采用HiLoad 16/60 Superdex 75pg凝胶过滤柱对Tannerpin-M进一步纯化,得到均一的重组Tannerpin-M蛋白(图2C,Lane 13~16)。
2.3 重组Tannerpin-M抑制丝氨酸蛋白酶的特异性
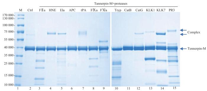
为了鉴定Tannerpin-M抑制丝氨酸蛋白酶的特异性,将重组Tannerpin-M与13种常见的人体丝氨酸蛋白酶分别进行反应,然后通过SDS-PAGE检测其与丝氨酸蛋白酶形成共价复合物的情况。结果显示(图3),Tannerpin-M可以与HNE、胰弹性蛋白酶、CatG、KLK1、KLK7和PR3这6种蛋白酶形成稳定的共价复合物条带,说明Tannerpin-M对这些蛋白酶有抑制活性。其中与KLK7形成的复合物条带最深,说明该Serpin对KLK7的抑制作用更显著。Tannerpin-M不能与FⅡa、APC、t-PA、FⅨa、FⅪa、CatB形成复合物(Lane 7和9中相对分子质量大于Tannerpin-M的条带对应tPA和FⅪa本身蛋白条带),推测这是由于这些丝氨酸蛋白酶的活性往往偏向性选择P1残基为精氨酸的底物或抑制剂,而Tannerpin-M的P1残基为甲硫氨酸。另外发现胰蛋白酶可以水解Tannerpin-M,使其变成一条相对分子质量稍小的蛋白条带及一些更小的片段(图3,Lane 10),推测这是由于Tannerpin-M的活性中心环柔性较强且含有2个赖氨酸残基,胰蛋白酶可以切割这2个碱性氨基酸(图1)。
图3
图3
Tannerpin-M抑制丝氨酸蛋白酶的特异性
Note: M—marker (Lane 1); Lane 2—Tannerpin-M control (Ctrl). The other lanes are mixed solutions of Tannerpin-M with different serine proteases; Lane 3—FⅡa; Lane 4—HNE; Lane 5—elastase; Lane 6—APC; Lane 7—t-PA; Lane 8—FⅨa; Lane 9—FⅪa; Lane 10—trypsin; Lane 11—CatB; Lane 12—CatG; Lane 13—KLK1; Lane 14—KLK7; Lane 15—PR3.
Fig 3
Inhibition specificity of Tannerpin-M towards serine proteases
2.4 重组Tannerpin-M抑制KLK7的二级反应动力学参数
为了直观地了解Tannerpin-M抑制KLK7的能力,利用动力学方法测定Tannerpin-M与KLK7的反应速率常数。结果(图4)显示,Tannerpin-M抑制KLK7的SI值为1.03±0.07,说明一个Tannerpin-M分子基本上可以有效抑制一个蛋白酶分子。为了测定Tannerpin-M抑制KLK7的反应速度,将不同浓度的Tannerpin-M与KLK7反应不同时间,中止反应后检测残留的KLK7的活性,据此计算其一级反应速率常数(kobs),然后根据kobs和Tannerpin-M的关系,得到它们反应的二级表观速率kapp为(4.13±0.07)×104 L/(mol·s)。综合kapp×SI值可得Tannerpin-M对KLK7的二级反应速率常数k2为4.25×104 L/(mol·s)。该数值与部分其他细菌来源Serpin的二级反应速率k2类似[24-25]。
图4
图4
动力学检测Tannerpin-M对KLK7的抑制作用
Note: The SI value of Tannerpin-M in inhibiting KLK7 was determined by mixing different ratios of Serpin and protease, with the remaining protease activity plotted against the ratio (left). kapp value of Tannerpin-M in inhibiting KLK7 was obtained by plotting the kobs values against the concentrations of Tannerpin-M (right).
Fig 4
Kinetic measurement of the inhibition of Tannerpin-M on KLK7
2.5 Tannerpin-M晶体结构的解析
为了解析Tannerpin-M的三维空间晶体结构,先尝试筛选天然状态的Tannerpin-M结晶条件。结果发现:在20% PEG 6000、0.1 mol/L Bicine(pH值9.0)、蛋白16.5 mg/mL、20 ℃条件下可以长出晶体;而将PEG 6000降至16%,Bicine的pH值降至8.6,蛋白浓度不变且温度降为8 ℃后,得到了更好的晶体,衍射分辨率也从9 Å(1 Å=0.1 nm)提高至3.5 Å,但仍不够理想。之前的实验结果(图3,Lane 10)显示,胰蛋白酶可以部分酶解Tannerpin-M。因此,在蛋白液中加入微量胰蛋白酶,将其转换为松弛态;然后,在20% PEG 3350、0.2 mol/L硫酸铵、蛋白8.3 mg/mL、20 ℃的条件下获得了较为理想的晶体;最后,以25%的甘油为冷冻保护剂采集其晶体的衍射图像,解析分辨率为2.4 Å的Tannerpin-M松弛态的晶体结构(表1)。
表1 Tennerpin-M晶体结构信息
Tab 1
| Item | Data collection |
|---|---|
| Beamline | SSRF 18U |
| Space group | P1211 |
| Cell dimension | |
| a, b, c /Å | 46.07, 112.52, 73.62 |
| α, β, γ /(°) | 90, 98.81, 90 |
| Wavelength/Å | 0.98 |
| Resolution/Å | 45.53‒2.4 (2.486‒2.4) |
| Total No. of observation | 54 039 (5 190) |
| Total No. unique | 27 693 (2 698) |
| Rmerge/% | 0.066 (0.248) |
| I/σI | 8.81 (3.22) |
| Completeness/% | 95.35 (93.71) |
| Multiplicity | 8.81 (3.22) |
| R-meas | 0.094 (0.351) |
| CC1/2 | 0.993 (0.856) |
| Refinement | |
| Reflections used in refinement | 27 676 (2 697) |
| Reflections used for R-free | 1 369 (140) |
| Number of non-hydrogen atoms | 5 745 |
| Macromolecule | 5 714 |
| Ligand | 6 |
| Solvent | 25 |
| Protein residue | 729 |
| R-work | 0.221 (0.275) |
| R-free | 0.273 (0.344) |
| B-factor/Å2 | 24.78 |
| RMSD bond length/Å | 0.002 |
| RMSD bond angle/(°) | 0.52 |
| Ramachandran favored/allowed/outlier/% | 97.36/2.36/0.28 |
图5
图5
Tannerpin-M结构模式图
Note: A. Crystal structure of cleaved Tannerpin-M. B. Predicted structure of native Tannerpin-M. The central β-sheet A is colored in cyan with the strands traditionally numbered 1‒6 from right to left. RCL is colored in red, helix A (hA) is colored in purple, helix F (hF) is colored in orange, and helix D (hD) is colored in gray. P1-P1' residue is shown in sticks.
Fig 5
Structures of Tannerpin-M
3 讨论
人类基因组计划揭示人体基因组编码36个Serpin,且多年来对这些人类Serpin的结构和功能机制研究得比较透彻。但近年来,对肠道菌群和口腔菌群的研究发现,这些人体寄生菌编码了大量的Serpin序列[15]。一些前期研究提示,这些寄生菌编码的Serpin可以通过调节人体丝氨酸蛋白酶的活性介导宿主的生理和病理反应[3]。丝氨酸蛋白酶参与多种生物过程,如免疫反应、消化和血液凝固,是胃肠道生理和炎症反应中的关键信号分子[28]。丝氨酸蛋白酶的宿主细胞有多种类型,从肠上皮细胞到常驻细胞和浸润细胞,而中性粒细胞和肥大细胞等免疫细胞是丝氨酸蛋白酶的主要来源,丝氨酸蛋白酶储存在其颗粒中。事实上,类胰蛋白酶、糜蛋白酶、CatG和颗粒酶B由肥大细胞分泌,而中性粒细胞在炎症部位释放HNE、PR3和CatG。在生理条件下,丝氨酸蛋白酶的活性受到严格调控,而其蛋白水解活性的不平衡与多种胃肠道疾病和牙周炎等疾病有关。可见,这些蛋白酶活性的异常可能也与人体寄生菌分泌的Serpin相关。
Miropin是首个从口腔牙周疾病相关坦纳菌属中发现的具有广谱抑制能力的原核生物Serpin,其可以利用RCL上不同的氨基酸作为P1残基(K或者T)抑制不同的丝氨酸蛋白酶,因此具有更加广谱的丝氨酸蛋白酶抑制能力,从而有利于细菌自身的存活[3]。坦纳菌属另一菌株Tannrella HMT808编码的原核Serpin Tannerpin具有紧张态构象,其活性中心P1残基为丙氨酸,但其抑制靶蛋白酶的特异性并不明确。本研究从坦纳菌属菌的另一菌株Tannrella HMT286中发现一个全新的Serpin,Tannerpin-M,其具有明显的抑制丝氨酸蛋白酶的活性,且其抑制丝氨酸蛋白酶KLK7的二级反应动力学常数k2为4.25×104 L/(mol·s),这与其他原核生物Serpin对丝氨酸蛋白酶的抑制速率相似[25,29-31]。对其晶体结构的解析也证明该Serpin可以发生经典的从紧张态向松弛态构象的转换,具有抑制靶蛋白酶的结构基础。
另外,本研究发现Tannerpin-M的活性中心P1-P1' 残基为甲硫氨酸-丝氨酸,这与经典Serpin的α1-AT的活性中心相同[32]。由于Serpin的结构特征和抑制蛋白的机制比较保守,各个Serpin的抑制靶蛋白酶的特异性主要由活性中心的氨基酸决定[33]。该活性中心氨基酸侧链可以比较完美地结合靶蛋白酶的活性口袋,然后被靶蛋白酶切割并触发Serpin独特的构象变化,导致Serpin和蛋白酶形成共价相连的复合物,两者同时失活[4,6]。活性中心氨基酸的突变往往会带来严重后果。比如,当α1-AT活性中心P1甲硫氨酸突变为精氨酸后,该突变体引发凝血酶(FⅡa)抑制,可导致患者出血不止[34]。当然,Serpin的特异性也受到其分子表面次级位点以及特定的配基调节,如肝素、蛋白Z和DNA等[21,23,35]。
人体Serpin活性中心P1大多是精氨酸,可介导人体凝血反应,有效抑制凝血系统中的丝氨酸蛋白酶,如FⅡa、FⅨa、FⅪa、APC、t-PA和纤溶酶等[5]。而人的α1-AT的P1残基为甲硫氨酸,由于该Serpin在血浆中浓度很高(可达2 mg/mL),主要起到控制粒细胞释放的HNE和CatG等蛋白酶活性的作用,可以有效保护人体肺泡组织免受这些蛋白酶的攻击。先天性α1-AT基因突变会导致血浆中α1-AT蛋白含量降低,从而使肺泡组织中的蛋白酶活性失去有效控制,导致肺气肿等疾病。
本研究发现Tannerpin-M和α1-AT类似,可以有效地与中性粒细胞释放的蛋白酶HNE、PR3和CatG形成共价复合物,抑制这些蛋白酶活性;但其不能抑制凝血系统中FⅡa等丝氨酸蛋白酶,这是由其P1残基决定的。我们推测在牙周患者牙菌斑中,坦纳菌属株可以通过分泌或者在其菌体表面表达Tannerpin-M或者其他Serpin抑制宿主免疫系统中性粒细胞释放的丝氨酸蛋白酶,避免宿主对其有效杀伤,维持自身的生存状态。总之,本研究加深了我们对致病菌潜在逃逸机制的理解,也为治疗这些致病菌相关疾病提供了新的靶点。
作者贡献声明
周爱武负责研究设计,并指导论文撰写;潘子豪和许佳伟参与实验操作及数据整理;许佳伟负责论文撰写及修改。所有作者均阅读并同意了最终稿件的提交。
AUTHOR's CONTRIBUTIONS
ZHOU Aiwu designed this study and supervised writing of the paper. PAN Zihao and XU Jiawei completed all the experiments. XU Jiawei wrote and revised the manuscript. All the authors have read the last version of the paper and consented for submission.
利益冲突声明
所有作者声明不存在利益冲突。
COMPETING INTERESTS
All authors disclose no relevant conflict of interests.
参考文献
/
| 〈 |
|
〉 |

