上海交通大学学报(医学版), 2025, 45(6): 684-692 doi: 10.3969/j.issn.1674-8115.2025.06.003

口腔颌面外科专题

颞下颌关节紊乱病患者关节盘与髁突距离的定量分析研究

孙磊,1,2, 戴世锋1, 陈裕华1, 许新怡2, 姜克乐3, 李筱文2, 李承靖2, 吴婷婷1

1.安徽医科大学口腔医学院,安徽医科大学附属口腔医院,安徽省口腔疾病研究重点实验室,合肥 230032

2.安徽医科大学第二附属医院口腔科,合肥 230601

3.安徽医科大学公共卫生学院流行病与卫生统计学系,合肥 230601

Quantitative analysis of the distance between articular disc and condyle in patients with temporomandibular disorders

SUN Lei,1,2, DAI Shifeng1, CHEN Yuhua1, XU Xinyi2, JIANG Kele3, LI Xiaowen2, LI Chengjing2, WU Tingting1

1.College & Hospital of Stomatology, Anhui Medical University; Key Laboratory of Oral Diseases Research of Anhui Province, Hefei 230032, China

2.Department of Stomatology, The Second Affiliated Hospital of Anhui Medical University, Hefei 230601, China

3.Department of Epidemiology and Biostatistics, School of Public Health, Anhui Medical University, Hefei 230601, China

通讯作者: 孙 磊(1984—),女,副教授,副主任医师,博士;电子信箱:sunlei@ahmu.edu.cn

编委: 瞿麟平

收稿日期: 2025-01-13   接受日期: 2025-04-03   网络出版日期: 2025-06-28

基金资助: 安徽省自然科学基金.  2308085MH264

Corresponding authors: SUN Lei, E-mail:sunlei@ahmu.edu.cn.

Received: 2025-01-13   Accepted: 2025-04-03   Online: 2025-06-28

摘要

目的·通过颞下颌关节磁共振(magnetic resonance imaging,MRI)检查,评价颞下颌关节紊乱病(temporomandibular disorders,TMD)患者盘髁距离(关节盘与髁突距离)与关节盘前移位、关节盘形态相关指标之间的关系。方法·选取2023年9月至2024年3月于安徽医科大学第二附属医院口腔科颞下颌关节门诊就诊且临床上出现TMD症状且MRI判断为颞下颌关节盘前移位或无明显移位的90位患者,将其180个颞下颌关节纳入研究。采集患者的临床资料,通过MRI图像测量关节盘移位角度、盘髁距离、关节盘长度及厚度,判断关节盘变形程度,分析患者临床症状与关节盘前移位之间的关系、关节盘前移位与关节盘形态及盘髁距离的关系,以及盘髁距离与关节盘形态的关系。结果·90例患者中男性16例、女性74例,平均年龄(28.1±14.5)岁。在180个颞下颌关节中,有临床症状的关节175个,无症状关节5个;未移位关节盘40个,可复性前移位关节盘78个,不可复性前移位关节盘62个。不可复性前移位关节盘中出现2个及以上症状的关节比例略高,为62.9%,但与关节盘未移位以及可复性前移位的关节之间差异无统计学意义。通过MRI评估发现,不可复性前移位的关节盘较未移位关节盘变形程度Ⅲ型及以上的占比显著升高,关节盘长度显著缩短,中间带厚度显著增大,闭口和最大开口位时的关节盘移位角度显著增大(均P<0.001)。未移位、可复性前移位和不可复性前移位关节盘的盘髁距离分别为3.10(2.70,3.70)、3.40(3.00,4.00)和6.60(4.78,7.90)mm,差异具有统计学意义(P<0.001);Ⅰ、Ⅱ、Ⅲ、Ⅳ/Ⅴ型关节盘的盘髁距离分别为3.10(2.80,3.60)、3.70(3.10,4.60)、5.10(4.00,7.30)、6.80(4.98,8.20)mm,差异具有统计学意义(P<0.001);盘髁距离与关节盘长度呈负相关(rs=-0.469,P<0.001),与关节盘中间带厚度呈正相关(rs=0.319,P<0.001),与闭口位时关节盘移位角度呈正相关(rs=0.626,P<0.001)。结论·随着颞下颌关节盘变形严重程度、中间带厚度、闭口位时前移位角度的增加,以及关节盘长度的缩短,盘髁距离增大;盘髁距离是MRI评估TMD病理改变的重要指标。

关键词: 颞下颌关节紊乱病 ; 磁共振成像 ; 颞下颌关节盘 ; 盘髁距离

Abstract

Objective ·To evaluate the relationships between disc-condyle distance and anterior disc displacement, as well as between disc-condyle distance and disc morphology, in patients with temporomandibular disorders (TMD) using magnetic resonance imaging (MRI) of the temporomandibular joint (TMJ). Methods ·From September 2023 to March 2024, 90 patients (180 TMJs) who visited the TMJ clinic of Department of Stomatology, The Second Affiliated Hospital of Anhui Medical University, with clinical symptoms of TMD and were diagnosed via MRI with either anterior disc displacement or no significant displacement, were included. Clinical data were collected, and MRI images were used to measure the angle of disc displacement, disc-condyle distance, disc length, and thickness. The degree of disc deformation was assessed. The relationships between clinical symptoms and anterior disc displacement, between anterior disc displacement and both disc morphology and disc-condyle distance, and between disc-condyle distance and disc morphology were analyzed. Results ·Among the 90 patients, there were 16 males and 74 females, with a mean age of (28.1±14.5) years. Among the 180 TMJs, 175 had clinical symptoms and 5 were asymptomatic. There were 40 joints with no displacement, 78 with reducible anterior disc displacement, and 62 with irreducible anterior disc displacement. In the joints with irreducible anterior disc displacement, the proportion of those with two or more symptoms was slightly higher at 62.9%, but the difference was not statistically significant compared with the joints with no displacement or reducible anterior disc displacement. MRI assessment revealed that in the joints with irreducible anterior disc displacement, the proportion of disc deformation type Ⅲ or higher was significantly higher compared with the non-displaced joints (P<0.001). The disc length was significantly shorter (P<0.001), and the intermediate zone thickness was significantly greater (P<0.001) compared with the non-displaced joints. The disc displacement angles at centric closure and maximum opening were also significantly larger (P<0.001). The disc-condyle distance was 3.10 (2.70, 3.70) mm for non-displaced joints, 3.40 (3.00, 4.00) mm for joints with reducible anterior disc displacement, and 6.60 (4.78, 7.90) mm for joints with irreducible anterior disc displacement, with significant differences (P<0.001). The disc-condyle distance was 3.10 (2.80, 3.60) mm for type Ⅰ discs, 3.70 (3.10, 4.60) mm for type Ⅱ discs, 5.10 (4.00, 7.30) mm for type Ⅲ discs, and 6.80 (4.98, 8.20) mm for type Ⅳ/Ⅴ discs, with significant differences (P<0.001). The disc-condyle distance was negatively correlated with disc length (rs=-0.469, P<0.001), positively correlated with intermediate zone thickness (rs=0.319, P<0.001), and positively correlated with disc displacement angle at centric closure (rs=0.626, P<0.001). Conclusion ·With increasing severity of disc deformation, intermediate zone thickness, and disc displacement angle at centric closure, as well as decreasing disc length, the disc-condyle distance increases. The disc-condyle distance is an important indicator for MRI assessment of pathological changes in TMD.

Keywords: temporomandibular disorders (TMD) ; magnetic resonance imaging (MRI) ; temporomandibular joint disc ; disc-condyle distance

PDF (3843KB) 元数据 多维度评价 相关文章 导出 EndNote| Ris| Bibtex  收藏本文

本文引用格式

孙磊, 戴世锋, 陈裕华, 许新怡, 姜克乐, 李筱文, 李承靖, 吴婷婷. 颞下颌关节紊乱病患者关节盘与髁突距离的定量分析研究. 上海交通大学学报(医学版)[J], 2025, 45(6): 684-692 doi:10.3969/j.issn.1674-8115.2025.06.003

SUN Lei, DAI Shifeng, CHEN Yuhua, XU Xinyi, JIANG Kele, LI Xiaowen, LI Chengjing, WU Tingting. Quantitative analysis of the distance between articular disc and condyle in patients with temporomandibular disorders. Journal of Shanghai Jiao Tong University (Medical Science)[J], 2025, 45(6): 684-692 doi:10.3969/j.issn.1674-8115.2025.06.003

颞下颌关节紊乱病(temporomandibular disorders,TMD)是一组涉及颞下颌关节(temporomandibular joint,TMJ)、咀嚼肌以及相关组织的疾病,临床常表现为疼痛、弹响或杂音,以及下颌运动的异常1-3

由于缺少统一的诊断标准,TMD的患病率仍有争议4-5。1992年颞下颌关节紊乱病研究诊断标准(research diagnostic criteria for temporomandibular disorders,RDC/TMD)被提出,并在此后被广泛应用6;到2014年,为提高RDC/TMD的有效性,在此基础上提出了颞下颌关节紊乱病诊断标准(diagnostic criteria for temporomandibular disorders,DC/TMD)7。虽然DC/TMD对于关节炎、关节半脱位以及不可复性关节盘前移位伴张口受限在基于病史和临床检查的基础上就可做出诊断,但对于以下情况,如可复性关节盘前移位以及可复性关节盘移位伴间歇性锁结、不可复性关节盘移位不伴张口受限者,其敏感性和特异性较差,需要进行影像学检查4。早在1990年,磁共振成像(magnetic resonance imaging,MRI)就被认为对颞下颌关节有着极好的可视性,甚至优于手术和解剖检查,尤其对于包括关节盘在内的软组织有着良好的分辨率8。T1加权成像(T1-weighted imaging,T1WI)、质子密度加权成像(proton density-weighted imaging,PDWI)、T2加权成像(T2-weighted imaging,T2WI)常用于颞下颌关节的MRI评估9,其中PDWI对关节盘分辨率以及关节盘内外侧的移位表现良好10,T2WI在评估关节盘移位和关节积液方面具有显著优势11。MRI作为评价关节盘位置的金标准12,可以准确评估关节盘的形态和位置,通过测定关节盘长度和厚度等定量数据有助于判断关节盘形态学上的变化。而关节盘作为关节窝和髁突之间的无血管纤维软骨,在进行张口、侧方移动及前伸运动时,会随着髁突的运动而改变位置,关节盘的形态与其位置有着很强的相关性13-14,从而可为TMD的诊断提供可靠的依据15。以往国内外的相关文献16-17多研究颞下颌关节盘-髁突复合体的MRI形态学特征并进行半量化评级,缺少定量分析;有定量分析的相关文献18-20多研究关节盘的长度、厚度、体积等关节盘形态变化,或者仅测量髁突相关的数据,而忽视了关节盘与髁突的位置距离的重要性。然而该距离的变化可能影响疼痛感知、咀嚼功能及下颌运动,可用于评估TMD的严重程度,并指导进一步的治疗选择、评估治疗效果及关节恢复程度21-22

因此本研究从常见的TMD临床症状出发,在研究颞下颌关节盘自身移位、形态改变的同时,对关节盘与髁突的距离(盘髁距离)进行定量分析,旨在提高TMD的诊断准确性,为个性化治疗方案的制定提供依据,同时为未来的研究提供新的方向1123

1 对象和方法

1.1 研究对象

选取2023年9月至2024年3月于安徽医科大学第二附属医院口腔科颞下颌关节门诊就诊的临床上出现TMD症状且在行MRI检查后判断为颞下颌关节盘前移位或无明显移位的90位患者,将90位患者的180个颞下颌关节全部纳入研究。

患者纳入标准:①临床资料完整,出现关节区疼痛和(或)弹响和(或)下颌运动异常等症状,但无法判断其盘髁位置关系。②过去3个月内未接受过颞下颌关节治疗者。③无MRI禁忌证者。排除标准:①先天性颞下颌关节畸形或有外伤史的患者。②正在行正畸治疗的患者。③有颌面部恶性肿瘤的患者。

1.2 病史采集

详细询问患者是否存在与TMD相关的不良生活习惯,如长期单侧咀嚼、经常紧咬牙或夜间磨牙等。在排除外伤、先天因素或其他疾病导致的关节损伤后,准确记录TMD相关的临床表现,如弹响、疼痛、张口受限等。

1.3 MRI设备及参数

颞下颌关节MRI使用3.0T成像仪(Ingenia 3.0T CX,Philips)进行扫描。

1.3.1 扫描序列选择及患者体位要求

本研究选取的MRI序列包括T1WI、T2WI和PDWI。患者于检查床上采取仰卧位平躺,要求患者面部正中矢状面和眶耳平面与地面垂直,将颞下颌关节贴近线圈中心,扫描时要求患者保持静卧体位不动;在牙尖交错位(闭口位)以及最大张口位时分别进行扫描24

1.3.2 MRI导入、定位

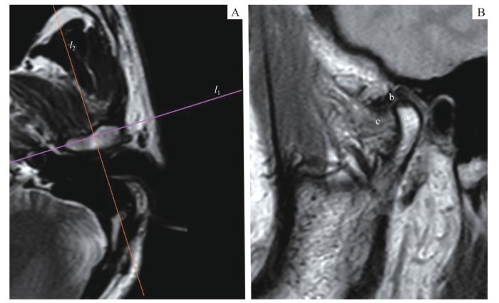
将扫描所得信息导入电脑,使用软件DICM Viewer 3.7.1进行阅片及测量。定位像在轴状层面上选择,斜矢状位的定位线应垂直于髁突的横轴(髁突内外极连线),整个髁突前后斜面及邻近翼外肌应包括在斜矢状位24图1)。

图1

图1   MRI阅片时的定位平面

Note: PDWI images. A. Axial plane. l1—the transverse axis of the condyle (the line connecting the internal and the external poles of the condyle); l2—the positioning plane perpendicular to the condylar transverse axis. B. Oblique sagittal plane. a—condyle; b—articular disc; c—lateral pterygoid muscle.

Fig 1   Positioning planes for MRI image reading


1.3.3 MRI正常盘髁关系

正常的颞下颌关节盘在MRI图像上呈双凹型,其影像的信号强度明显低于周围的组织。关节盘分为前、中、后3个部分,其中中间带最薄、前带其次、后带最厚,在关节结节和髁突之间起到缓冲的作用;在正常闭口位时,后带位于髁突的上方或稍前方;在正常张口位时,髁突先向前下移位,随后关节盘随着髁突的运动也向前方运动,但关节盘的中间带仍位于髁突和关节结节之间25-26图2)。

图2

图2   MRI影像中正常的盘髁位置关系

Note: Oblique sagittal PDWI images. A. Closed-mouth position. B. Open-mouth position. a—condyle; b—articular disc; c—articular eminence.

Fig 2   Normal disc-condyle relationship in MRI images


1.4 MRI图像测量

为了评估测量的可靠性和可重复性,由同一位口腔专业副主任医师在3个不同的时间点分别对同一组图像进行测量。若3次测量结果无明显偏差,则取这3次测量值的平均值作为最终测量结果;若偏差较大,则进行第4次测量,然后选取3次差别较小的测量值,计算其平均值作为最终结果。

1.4.1 关节盘移位的判断

根据INCESU等27提出的测量颞下颌关节盘移位角度的方法,在闭口位时将关节结节与关节后结节顶点连线,该线与髁突相交部分所形成的线段的中点即髁头中心点,通过该中点做该线的垂线,该垂线与颞下颌关节盘后带边缘所形成的夹角即关节盘移位角度(图3)。同时按照专家共识3,正常的盘髁关系为下颌处于闭口位时关节盘后带的后缘位于髁头中心点垂线前后15°或15°以内,髁突前斜面正对关节盘中间带。可复性关节盘前移位:下颌处于闭口位时关节盘前移,后带后缘与髁突中心点垂线的夹角大于15°,髁突前斜面与关节盘中间带不正对;最大张口位时关节盘中间带位于髁突顶和关节结节之间。不可复性关节盘前移位:闭口位同可复性关节盘前移位,最大张口位时关节盘中间带仍位于髁突顶前方。

图3

图3   关节盘移位角度的测量

Note: An oblique sagittal PDWI image. l1—the line connecting the articular eminence and the vertex of the posterior tubercle; O—the midpoint of the intersection of line l1 with the condyle; l2—the perpendicular line to l1 through point O; l3—the line connecting the posterior edge of the articular disc with point O; α—the angle between l2 and l3, which is the angle of disc displacement.

Fig 3   Measurement of articular disc displacement angle


1.4.2 盘髁距离及关节盘长度

参考ZHANG等22提出的测量盘髁距离及关节盘长度的方法。闭口位时,A点为关节盘前带前缘的中点,B点为关节盘中间带的中点,C点为关节盘后带后缘的中点,关节盘的长度即为AB+BC;于髁突头的位置画2个内切圆,2个圆心的连线标记为髁突头部的长轴yy轴与髁突顶部的交点记为DCD之间的距离即设为盘髁距离(图4)。

图4

图4   盘髁距离及关节盘长度的测量

Note: An oblique sagittal PDWI image. A—the midpoint of the anterior edge of the anterior band of the articular disc; B—the midpoint of the intermediate zone of the articular disc; C—the midpoint of the posterior edge of the posterior band of the articular disc; y—the long axis of the condylar head; D—the intersection of y-axis with the condyle; AB+BC—the length of the articular disc; CD—the disc-condyle distance.

Fig 4   Measurement of disc-condyle distance and articular disc length


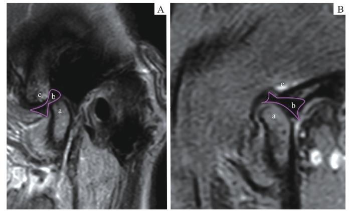
1.4.3 关节盘厚度

采用WANG等28的方法,在闭口位时分别测量关节盘前带和后带最厚位置数值,对关节盘中间带则测量其最薄位置数值(图5)。

图5

图5   颞下颌关节盘厚度测量

Note: An oblique sagittal PDWI image. a—anterior band thickness; b—intermediate zone thickness; c—posterior band thickness.

Fig 5   Measurement of articular disc thickness


1.4.4 关节盘变形程度分型

在闭口位时评估关节盘的形态,并将其分为5种类型29图6)。Ⅰ型:关节盘呈双凹型且无变形。Ⅱ型:关节盘呈双凹外形伴后带增厚或轻度折叠。Ⅲ型:关节盘中度折叠,呈现“U”形或“V”形,盘长度足够。Ⅳ型:关节盘发生折叠且长度变短。Ⅴ型:关节盘发生严重的折叠,呈现双凸型或变圆。

图6

图6   关节盘变形程度分型

Note: Oblique sagittal PDWI images. Typical articular disc morphology of type Ⅰ‒Ⅴ.

Fig 6   Classification of articular disc deformation degrees


1.5 统计学方法

采用SPSS 26.0软件进行统计分析。定量资料若符合正态分布,用x±s表示,组间比较采用方差分析,事后多重比较采用Bonferroni法;若不符合正态分布,用MQ1Q3)表示,组间比较采用Kruskal-Wallis检验。定性资料用频数(百分比)表示,组间比较采用χ2检验。相关性分析采用Spearman秩相关检验。P<0.05表示差异具有统计学意义。

2 结果

2.1 临床症状与颞下颌关节盘前移位之间的关系

本次研究共收集病例90例(180个颞下颌关节),其中男性16例(占17.8%)、女性74例(占82.2%);年龄为12~70岁,平均年龄为(28.1±14.5)岁。180个关节中有临床症状的关节175个、无症状关节5个;其中关节区疼痛30个(16.7%)、关节弹响98个(54.4%)、张口型异常46个(25.6%)和张口受限128个(71.1%)。180个关节中未移位关节盘40个、可复性前移位关节盘78个、不可复性前移位关节盘62个。有临床症状的颞下颌关节中有39个未发生关节盘前移位,75个发生可复性关节盘前移位,61个发生不可复性关节盘前移位;无临床症状关节中有1个未发生关节盘前移位,3个发生可复性关节盘前移位,1个发生不可复性关节盘前移位。有无临床症状与有无关节盘移位之间无明显的关系。不可复性关节盘前移位中出现2个或2个以上症状的关节比例略高,为62.9%,但与未发生关节盘前移位以及发生可复性前移位的关节之间差异无统计学意义(P>0.05,表1)。

表1   关节盘前移位与临床症状之间的关系

Tab 1  Relationship between clinical symptoms and anterior disc displacement

Disc displacementAsymptomaticWith one symptomWith two or more symptomsP value
No disc displacement/n(%)1 (2.5)21 (52.5)18 (45.0)0.115
Anterior disc displacement with reduction/n(%)3 (3.8)43 (55.1)32 (41.0)
Anterior disc displacement without reduction/n(%)1 (1.6)22 (35.5)39 (62.9)

新窗口打开| 下载CSV


2.2 关节盘前移位与关节盘形态及盘髁距离的关系

本研究通过MRI影像评估颞下颌关节盘前移位类型与关节盘形态,结果(表2)发现两者密切相关。未前移位的40个关节盘都属于Ⅰ型或Ⅱ型,可复性前移位的78个关节盘中Ⅲ型及以上仅占16.6%,而不可复性前移位的62个关节盘中Ⅲ型及以上占77.4%,各组间差异具有统计学意义(P<0.001);提示随着关节盘前移位程度加重,关节盘变形概率和严重程度显著升高。

表2   不同关节盘前移位状态下关节盘形态及盘髁距离的差异

Tab 2  Differences in disc morphology and disc-condyle distance under different anterior disc displacement states

ItemNo displacement

Anterior disc displacement

with reduction

Anterior disc displacement

without reduction

P value
Type/n(%)<0.001
24 (60)36 (46.2)5 (8.1)①②
16 (40)29 (37.2)9 (14.5)
0 (0)9 (11.5)14 (22.6)
Ⅳ/Ⅴ0 (0)4 (5.1)34 (54.8)
Disc length/mm9.41±1.409.64±1.796.46±1.61①②<0.001
Disc thickness/mm
Anterior band2.40 (2.00, 2.60)2.20 (2.10, 2.63)2.30 (2.08, 2.73)0.759
Intermediate band0.90 (0.80, 0.90)0.90 (0.80, 1.00)1.00 (0.90, 1.20)①③<0.001
Posterior band2.95 (2.80, 3.08)2.90 (2.70, 3.00)2.90 (2.60, 3.23)0.648
Displacement angle/(°)
Closed-mouth position8.75 (0.69, 11.03)25.74 (18.83, 56.24)95.97 (85.86, 106.36) ①②<0.001
Maximum opening position-65.32 (-81.38, -41.68)-51.56 (-77.58, -33.09)79.62 (64.11, 88.44)①②<0.001
Disc-condyle distance/mm3.10 (2.70, 3.70)3.40 (3.00, 4.00)6.60 (4.78, 7.90)①②<0.001

Note:P<0.001, compared with the no displacement group; P<0.001, P=0.015, compared with the Anterior disc displacement with reduction group.

新窗口打开| 下载CSV


3种关节盘移位类型的关节盘长度、关节盘的中间带厚度、闭口和最大张口位时的关节盘移位角度间差异均具有统计学意义(表2,均P<0.001),不可复性前移位的关节盘长度显著缩短,中间带厚度显著增大,闭口和最大张口位时的关节盘移位角度显著增大。而关节盘的前带和后带的厚度在不同关节盘移位状态间差异均无统计学意义。

探究不同的关节盘前移位状态下,盘髁距离的变化。结果(表2)发现,在未发生关节盘移位、发生可复性和不可复性关节盘前移位的关节,盘髁距离分别为3.10(2.70,3.70)、3.40(3.00,4.00)、6.60(4.78,7.90)mm,差异有统计学意义(P<0.001)

2.3 盘髁距离与关节盘变形程度分型的关系

Ⅰ、Ⅱ、Ⅲ、Ⅳ/Ⅴ型关节盘的盘髁距离分别为3.10(2.80,3.60)、3.70(3.10,4.60)、5.10(4.00,7.30)、6.80(4.98,8.20)mm,4组间差异有统计学意义(P<0.001);提示随着关节盘变形程度加重,盘髁距离显著增大。

2.4 盘髁距离与关节盘长度的关系

对盘髁距离与关节盘长度之间进行秩相关分析,结果表明关节盘长度和盘髁距离呈负相关(rs=-0.469,P<0.001);提示随着关节盘的长度变短,盘髁距离增大。

2.5 盘髁距离与关节盘厚度的关系

对盘髁距离和关节盘厚度之间进行秩相关分析,结果表明关节盘中间带厚度与盘髁距离呈正相关(rs=0.319,P<0.001),而关节盘前带和后带的厚度与盘髁距离相关性无统计学意义;提示随着关节盘中间带的厚度增大,盘髁距离增大。

2.6 盘髁距离与移位角度的关系

对盘髁距离和闭口位时关节盘移位角度之间进行秩相关分析,结果表明两者之间呈正相关(rs=0.626,P<0.001);提示随着闭口位时关节盘移位角度增大,盘髁距离增大。

3 讨论

本研究中女性的占比约为男性的4倍,且年龄集中在育龄期,与AKHTER等30的表述一致,这可能与女性的生理、心理和社会因素有关。临床症状与颞下颌关节盘前移位之间的相关性一直存在争议。MAIZLIN等31对72个有临床症状患者的144个关节样本开展研究,发现临床症状与关节盘移位之间存在相关性;而本研究发现不同关节盘前移位状态的关节中无临床症状、有单一症状、有联合症状的构成比差异无统计学意义;也有部分研究32的结果与本研究一致,认为无法根据临床症状准确判断关节盘的移位状态33。其中可能的原因包括:①患者个体认知存在差异,部分患者未意识到自身曾出现过关节弹响、疼痛及张口受限等相关症状。②临床上医师在接诊时未发现一些细微的关节弹响、摩擦或破碎音等。③存在部分患者先出现临床症状,时隔数月才能在影像学检查中发现变化。

从MRI图像上探究关节盘形态与关节盘前移位之间的关系,我们发现:发生可复性前移位及不可复性前移位的关节盘Ⅲ型及以上的比例逐渐增多,尤其是不可复性前移位的关节盘,Ⅲ型及以上的比例占3/4以上,关节盘长度明显缩短,中间带厚度明显增大,与以往研究一致1328;但并未发现前带和后带的厚度在不同前移位状态之间的差异。我们认为关节盘中间带变厚可能与关节盘本身的解剖结构有关,关节盘中间带厚度最薄,受到机械压力时最易发生形变。在测量关节盘长度的过程中,我们还注意到不可复性前移位关节盘的长度较可复性前移位的关节盘更短,这提示不可复性前移位关节盘的扭转更为严重,所受到的机械力也更大;该结果与HU等29的研究结果一致。因此在颞下颌关节盘不可复性前移位患者的自然病程中,患者的症状往往不能得到缓解,存在持续发展的可能,表现为关节盘前移位角度进一步增大,关节盘形变进一步加重34

本研究还分析了盘髁距离与颞下颌关节盘形态和移位角度之间的关系。我们发现:不可复性前移位关节盘的盘髁距离是未前移位以及可复性前移位关节盘的2倍左右,显著增大;同时随着关节盘变形严重程度、中间带厚度、闭口位时前移位角度的增加或关节盘长度的缩短,盘髁距离逐渐增大。这种变化可能与关节盘在不同疾病阶段所承受的力学应力不同有关,进而导致关节盘与髁突之间的相对位置发生改变。

盘髁距离在TMD中具有多重临床意义:盘髁距离与关节盘移位程度高度相关,可作为影像学诊断的客观量化指标;鉴于盘髁距离对于治疗效果的敏感性,动态监测其变化(如治疗后缩短或持续增大)可用于保守治疗(咬合板、物理疗法等)的效果评估,以及提示手术干预需求;此外,盘髁距离与关节盘中间带厚度的正相关性反映了关节盘的代偿潜力,其阈值可能成为预测疾病进展的生物学标志物。

本研究的局限性包括:首先,缺少足够的临床表现正常且盘髁位置关系正常的颞下颌关节MRI图像作为对照组。其次,在对颞下颌关节紊乱做出临床诊断时缺少相关症状的可视化量表。最后,本研究对象同时纳入了未成年患者。虽然未成年患者的颌面部未发育完全,但是根据以往的一篇报道34,颞下颌关节盘不可复性前移位患者中青少年组与成人组之间关节盘长度、宽度和前移位角度的差异均无统计学意义,因此推测未成年患者对本研究结果的影响较小。

伦理批准和知情同意

本研究已通过安徽医科大学附属口腔医院伦理委员会审核批准(文件号HM2024001)。本研究为回顾性研究,免除知情同意书。

Ethics Approval and Patient Consent

The study has been reviewed and approved by the Ethics Committee of Hospital of Stomatology, Anhui Medical University (Approval No. HM2024001). The study was a retrospective study, and informed consent was exempted.

作者贡献声明

所有作者都对该研究的构思和设计做出了实质性贡献。孙磊负责研究设计、病例收集和论文撰写,戴世锋参与初期数据的收集、整理、测算和撰写初稿,陈裕华参与数据分析、结果验证和撰写初稿,许新怡、姜克乐、李筱文参与数据整理、验证和呈现,李承靖参与病例收集,吴婷婷参与数据分析。所有作者均阅读并同意了最终稿件的提交。

AUTHOR's CONTRIBUTIONS

HAN Longchuan was primarily responsible for conducting experiments, organizing and analyzing data, and drafting and revising the manuscript. LI Yue contributed to experimental operations and manuscript revision. ZOU Zhihui and LUO Jing participated in data analysis and manuscript revisions. LI Ruoyi contributed to animal experiments and manuscript revisions. ZHANG Yingting, TANG Xinxin, TIAN Lihong, LU Yuheng and HUANG Ying participated in manuscript revisions. HE Ming and FU Yinkun were responsible for project design and manuscript revisions. All authors have read the final version of the paper and agreed to its submission.

利益冲突声明

所有作者声明不存在利益冲突。

COMPETING INTERESTS

All authors disclose no relevant conflict of interests.

参考文献

DE LEEUW R, KLASSER G D. Orofacial pain: guidelines for assessment, diagnosis, and management[M]. 6th ed. Hanover Park: Quintessence Publishing, 2018.

[本文引用: 1]

AIELLO V, FERRILLO M, MAROTTA N, et al. Temporomandibular joint arthritis in rheumatic diseases patients: which are the effective rehabilitative approaches for pain relief? A systematic review[J]. BMC Musculoskelet Disord, 2025, 26(1): 159.

BADRI O, DAVIS C M, WARBURTON G. Arthroscopic management and recent advancements in the treatment of temporomandibular joint disorders[J]. Br J Oral Maxillofac Surg, 2024, 62(9): 820-825.

[本文引用: 2]

WARZOCHA J, GADOMSKA-KRASNY J, MROWIEC J. Etiologic factors of temporomandibular disorders: a systematic review of literature containing diagnostic criteria for temporomandibular disorders (DC/TMD) and research diagnostic criteria for temporomandibular disorders (RDC/TMD) from 2018 to 2022[J]. Healthcare (Basel), 2024, 12(5): 575.

[本文引用: 2]

BERNKOPF E, NARDONE M, CAPRIOTTI V. Follow-up clarifications concerning the authors' reply to the 'look at the elephant!' comment on 'prevalence of temporomandibular disorders in adult obstructive sleep apnoea patients: a cross-sectional controlled study'[J]. J Oral Rehabil, 2024, 51(10): 2234-2236.

[本文引用: 1]

DWORKIN S F, LERESCHE L. Research diagnostic criteria for temporomandibular disorders: review, criteria, examinations and specifications, critique[J]. J Craniomandib Disord, 1992, 6(4): 301-355.

[本文引用: 1]

SCHIFFMAN E, OHRBACH R, TRUELOVE E, et al. Diagnostic criteria for temporomandibular disorders (DC/TMD) for clinical and research applications: recommendations of the International RDC/TMD Consortium Network and Orofacial Pain Special Interest Group[J]. J Oral Facial Pain Headache, 2014, 28(1): 6-27.

[本文引用: 1]

AZMA R, HAREENDRANATHAN A, LI M X, et al. Automated pediatric TMJ articular disk identification and displacement classification in MRI with machine learning[J]. J Dent, 2025, 155: 105622.

[本文引用: 1]

TAMIMI D, JALALI E, HATCHER D. Temporomandibular joint imaging[J]. Radiol Clin North Am, 2018, 56(1): 157-175.

[本文引用: 1]

AKAI H, YASAKA K, SUGAWARA H, et al. Faster acquisition of magnetic resonance imaging sequences of the knee via deep learning reconstruction: a volunteer study[J]. Clin Radiol, 2024, 79(6): 453-459.

[本文引用: 1]

LI C J, ZHANG Q B. Comparison of magnetic resonance imaging findings in 880 temporomandibular disorder patients of different age groups: a retrospective study[J]. BMC Oral Health, 2022, 22(1): 651.

[本文引用: 2]

WOJCIECHOWSKA B, SZARMACH A, MICHCIK A, et al. Association between clinical manifestations in temporomandibular joint disorders and corresponding radiographic findings[J]. J Clin Med, 2024, 13(16): 4886.

[本文引用: 1]

ITURRIAGA V, BORNHARDT T, VELASQUEZ N. Temporomandibular joint: review of anatomy and clinical implications[J]. Dent Clin North Am, 2023, 67(2): 199-209.

[本文引用: 2]

ZHU J Y, GONG Y J, ZHENG F J, et al. Relationships between functional temporomandibular joint space and disc morphology, position, and condylar osseous condition in patients with temporomandibular disorder[J]. Clin Oral Investig, 2024, 28(3): 193.

[本文引用: 1]

CHEN B Y, LI C J. The relationship between the articular disc in magnetic resonance imaging and the condyle in cone beam computed tomography: a retrospective study[J]. J Stomatol Oral Maxillofac Surg, 2024, 125(5S1): 101940.

[本文引用: 1]

张国来, 廖彦阳, 吴美娜, 等. 颞下颌关节盘前移位患者盘-髁复合体MRI特征及盘周附着半量化评级研究[J]. 核磁共振成像, 2024, 15(2): 7-13.

[本文引用: 1]

ZHANG G L, LIAO Y Y, WU M N, et al. Study on MRI features of disc-condylar complex and semiquantitative evaluation of peridisc attachment in cases of temporomandibular joint disc displacement[J]. Chinese Journal of Magnetic Resonance Imaging, 2024, 15(2): 7-13.

[本文引用: 1]

KOCA C G, GÜMRÜKÇÜ Z. Does clinical findings correlate with magnetic resonance imaging (MRI) findings in patients with temporomandibular joint (TMJ) pain? A cross sectional study[J]. Med Oral Patol Oral Cir Bucal, 2020, 25(4): e495-e501.

[本文引用: 1]

张盈盈, 伊景如, 潘初. 颞下颌关节紊乱患者关节盘软骨形态学改变的MR定量研究[J]. 临床放射学杂志, 2024, 43(11): 1865-1871.

[本文引用: 1]

ZHANG Y Y, YI J R, PAN C. Quantitative MR study of morphological changes in articular disc cartilage in patients with temporomandibular disorders[J]. Journal of Clinical Radiology, 2024, 43(11): 1865-1871.

[本文引用: 1]

ARAYASANTIPARB R, TSUCHIMOCHI M. Quantification of disc displacement in internal derangement of the temporomandibular joint using magnetic resonance imaging[J]. Odontology, 2010, 98(1): 73-81.

YANG Z J, WANG M G, MA Y W, et al. Magnetic resonance imaging (MRI) evaluation for anterior disc displacement of the temporomandibular joint[J]. Med Sci Monit, 2017, 23: 712-718.

[本文引用: 1]

XIE Q Y, YANG C, HE D M, et al. Will unilateral temporomandibular joint anterior disc displacement in teenagers lead to asymmetry of condyle and mandible? A longitudinal study[J]. J Craniomaxillofac Surg, 2016, 44(5): 590-596.

[本文引用: 1]

ZHANG Q, YE Z, WU Y G, et al. Nonlinear relationship between temporomandibular joint disc displacement distance and disc length: a magnetic resonance imaging analysis[J]. J Clin Med, 2022, 11(23): 7160.

[本文引用: 2]

LI Z Y, ZHOU J L, YU L X, et al. Disc-condyle relationship alterations following stabilization splint therapy or arthrocentesis plus hyaluronic acid injection in patients with anterior disc displacement: a retrospective cohort study[J]. Oral Radiol, 2023, 39(1): 198-206.

[本文引用: 1]

傅开元, 胡敏, 余强, 等. 颞下颌关节常规MRI检查规范及关节盘移位诊断标准的专家共识[J]. 中华口腔医学杂志, 2020, 55(9): 608-612.

[本文引用: 2]

FU K Y, HU M, YU Q, et al. Experts consensus on MRI examination specification and diagnostic criteria of temporomandibular joint disc displacement[J]. Chinese Journal of Stomatology, 2020, 55(9): 608-612.

[本文引用: 2]

DRACE J E, ENZMANN D R. Defining the normal temporomandibular joint: closed-, partially open-, and open-mouth MR imaging of asymptomatic subjects[J]. Radiology, 1990, 177(1): 67-71.

[本文引用: 1]

PERSCHBACHER S. Chapter 27: temporomandibular joint abnormalities[M]//WHITE S C, PHAROAH M J. Oral radiology: principles and interpretation. 7th ed. St. Louis: Mosby, 2013: 492-523.

[本文引用: 1]

INCESU L, TAŞKAYA-YILMAZ N, OĞÜTCEN-TOLLER M, et al. Relationship of condylar position to disc position and morphology[J]. Eur J Radiol, 2004, 51(3): 269-273.

[本文引用: 1]

WANG M Q, CAO H T, GE Y L, et al. Magnetic resonance imaging on TMJ disc thickness in TMD patients: a pilot study[J]. J Prosthet Dent, 2009, 102(2): 89-93.

[本文引用: 2]

HU Y K, YANG C, XIE Q Y. Changes in disc status in the reducing and nonreducing anterior disc displacement of temporomandibular joint: a longitudinal retrospective study[J]. Sci Rep, 2016, 6: 34253.

[本文引用: 2]

AKHTER R. Epidemiology of temporomandibular disorder in the general population: a systematic review[J]. Adv Dent Oral Health, 2019, 10(3): 555787.

[本文引用: 1]

MAIZLIN Z V, NUTIU N, DENT P B, et al. Displacement of the temporomandibular joint disk: correlation between clinical findings and MRI characteristics[J]. J Can Dent Assoc, 2010, 76: a3.

[本文引用: 1]

LIU Z J, YAMAGATA K, KUROE K, et al. Morphological and positional assessments of TMJ components and lateral pterygoid muscle in relation to symptoms and occlusion of patients with temporomandibular disorders[J]. J Oral Rehabil, 2000, 27(10): 860-874.

[本文引用: 1]

TOGNINI F, MANFREDINI D, MONTAGNANI G, et al. Is clinical assessment valid for the diagnosis of temporomandibular joint disk displacement?[J]. Minerva Stomatol, 2004, 53(7/8): 439-448.

[本文引用: 1]

闫森, 乔永明, 段亮伟. 37例颞下颌关节盘不可复性前移位患者自然转归的临床及磁共振成像特征分析[J]. 华西口腔医学杂志, 2024, 42(1): 82-88.

[本文引用: 2]

YAN S, QIAO Y M, DUAN L W. Analysis of clinical changes and magnetic resonance imaging features of 37 patients with temporomandibular joint disc condylar complex with anterior disc displacement without reduction[J]. West China Journal of Stomatology, 2024, 42(1): 82-88.

[本文引用: 2]

/