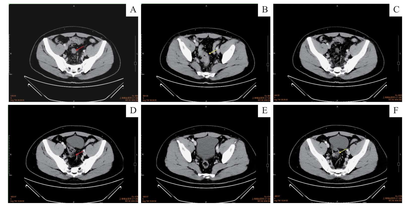
| [1] |
SINICROPE F A. Increasing incidence of early-onset colorectal cancer[J]. N Engl J Med, 2022, 386(16): 1547-1558.
|
| [2] |
KIM B J, HANNA M H. Colorectal cancer in young adults[J]. J Surg Oncol, 2023, 127(8): 1247-1251.
|
| [3] |
MORGAN E, ARNOLD M, GINI A, et al. Global burden of colorectal cancer in 2020 and 2040: incidence and mortality estimates from GLOBOCAN[J]. Gut, 2023, 72(2): 338-344.
|
| [4] |
LANG D, CIOMBOR K K. Diagnosis and management of rectal cancer in patients younger than 50 years: rising global incidence and unique challenges[J]. J Natl Compr Canc Netw, 2022, 20(10): 1169-1175.
|
| [5] |
KANANI A, VEEN T, SØREIDE K. Neoadjuvant immunotherapy in primary and metastatic colorectal cancer[J]. Br J Surg, 2021, 108(12): 1417-1425.
|
| [6] |
MELERO I, BERRAONDO P, RODRÍGUEZ-RUIZ M E, et al. Making the most of cancer surgery with neoadjuvant immunotherapy[J]. Cancer Discov, 2016, 6(12): 1312-1314.
|
| [7] |
ZHU G M, PEI L J, XIA H W, et al. Role of oncogenic KRAS in the prognosis, diagnosis and treatment of colorectal cancer[J]. Mol Cancer, 2021, 20(1): 143.
|
| [8] |
DESAI J, ALONSO G, KIM S H, et al. Divarasib plus cetuximab in KRAS G12C-positive colorectal cancer: a phase 1b trial[J]. Nat Med, 2024, 30(1): 271-278.
|
| [9] |
FREI E 3rd. Clinical cancer research: an embattled species[J]. Cancer, 1982, 50(10): 1979-1992.
|
| [10] |
ZHU J H, LIAN J, XU B J, et al. Neoadjuvant immunotherapy for colorectal cancer: right regimens, right patients, right directions?[J]. Front Immunol, 2023, 14: 1120684.
|
| [11] |
VAN CUTSEM E, CERVANTES A, ADAM R, et al. ESMO consensus guidelines for the management of patients with metastatic colorectal cancer[J]. Ann Oncol, 2016, 27(8): 1386-1422.
|
| [12] |
MORTON D, SEYMOUR M, MAGILL L, et al. Preoperative chemotherapy for operable colon cancer: mature results of an international randomized controlled trial[J]. J Clin Oncol, 2023, 41(8): 1541-1552.
|
| [13] |
FOxTROT Collaborative Group. Feasibility of preoperative chemotherapy for locally advanced, operable colon cancer: the pilot phase of a randomised controlled trial[J]. Lancet Oncol, 2012, 13(11): 1152-1160.
|
| [14] |
HU H B, ZHANG J W, LI Y F, et al. Neoadjuvant chemotherapy with oxaliplatin and fluoropyrimidine versus upfront surgery for locally advanced colon cancer: the randomized, phase Ⅲ OPTICAL trial[J]. J Clin Oncol, 2024, 42(25): 2978-2988.
|
| [15] |
LEE A. Serplulimab: first approval[J]. Drugs, 2022, 82(10): 1137-1141.
|
| [16] |
QIN S K, LI J, ZHONG H J, et al. Serplulimab, a novel anti-PD-1 antibody, in patients with microsatellite instability-high solid tumours: an open-label, single-arm, multicentre, phase Ⅱ trial[J]. Br J Cancer, 2022, 127(12): 2241-2248.
|
| [17] |
WANG X L, FANG Y, LIANG W, et al. Fusobacterium nucleatum facilitates anti-PD-1 therapy in microsatellite stable colorectal cancer[J]. Cancer Cell, 2024, 42(10): 1729-1746.e8.
|
| [18] |
ZHOU L Q, YU G Y, SHEN Y X, et al. Safety and clinical efficacy of neoadjuvant chemoradiation therapy with immunotherapy for organ preservation in ultra-low rectal cancer: preliminary results of the CHOICE-Ⅰ trial: a prospective cohort study[J]. Int J Surg, 2025, 111(3): 2487-2494.
|
| [19] |
WANG Y Q, SHEN L J, WAN J F, et al. Short-course radiotherapy combined with CAPOX and Toripalimab for the total neoadjuvant therapy of locally advanced rectal cancer: a randomized, prospective, multicentre, double-arm, phase Ⅱ trial (TORCH)[J]. BMC Cancer, 2022, 22(1): 274.
|
| [20] |
MA X X, RIAZ N, SAMSTEIN R M, et al. Functional landscapes of POLE and POLD1 mutations in checkpoint blockade-dependent antitumor immunity[J]. Nat Genet, 2022, 54(7): 996-1012.
|